症例詳細
Case detail
八重歯を矯正治療で治したい!
治療症例の内容
- 診療科目
- 担当医
- 大元洋佑(ドクタープロフィール)
- 患者様
- 30代女性
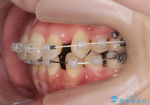
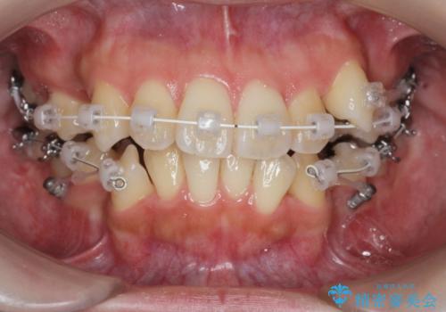
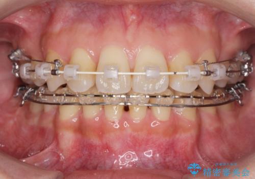
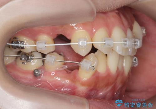
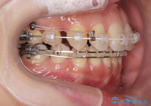
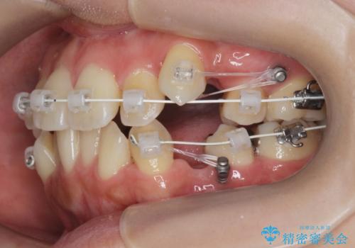
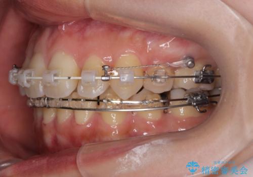
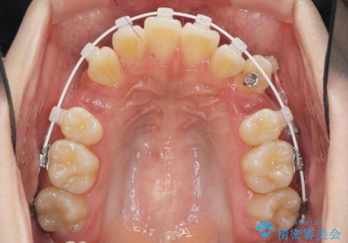
- 矯正装置
- ワイヤー矯正
- 治療期間
- 3年
- 治療回数
- 30回以上
- 治療計画
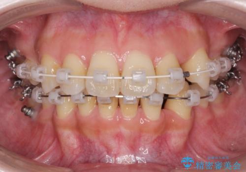
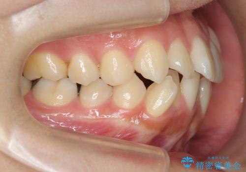
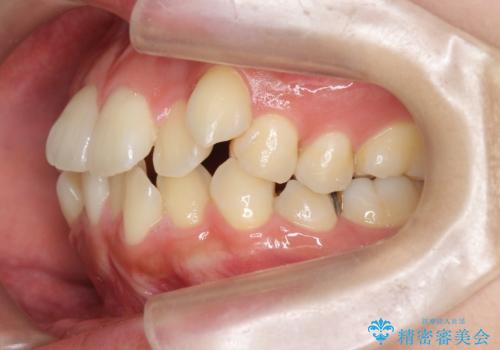
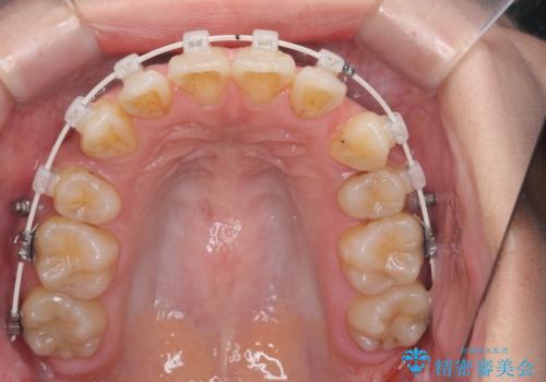
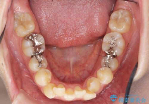
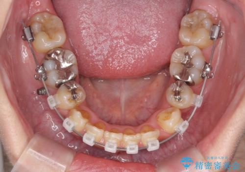
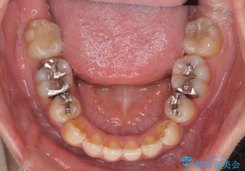
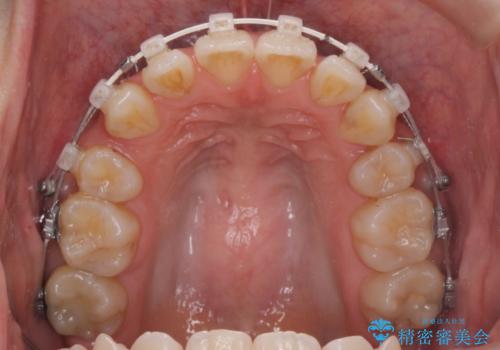
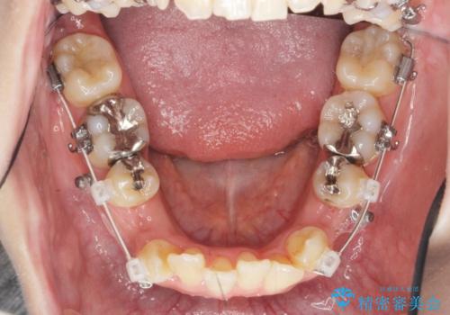
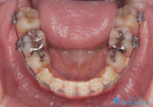
- 八重歯・がたつきのある歯並びの改善を求めて来院されました。
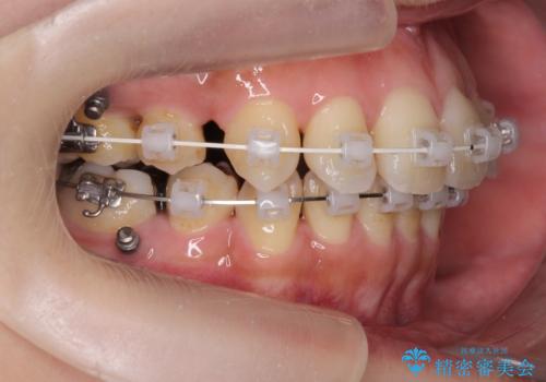
全部の歯が入り切るスペースがなかったため、小臼歯4本を抜去しワイヤーを用いたマルチブラケット矯正を選択しました。
- 費用(概算)
- 110万円費用は治療当時の料金となります
治療について
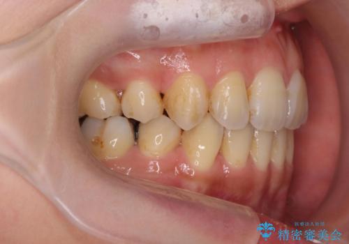
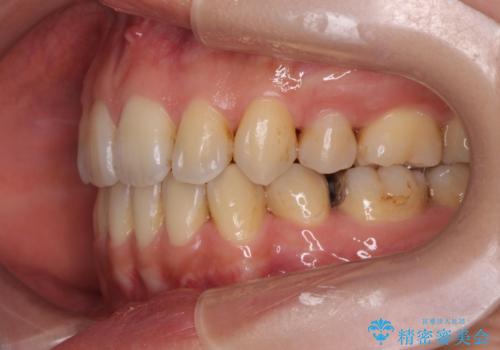
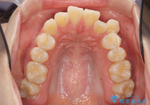
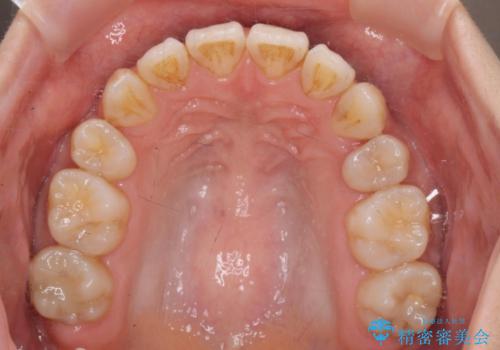
歯並びの改善と共に、歯ブラシがしやすくなった!と喜んでいただくことができました。
ワイヤー矯正の注意事項(リスク・副作用など)
- 治療中は違和感や痛みが起こることがあります
- 症状により、抜歯が必要な場合があります
- 治療中は歯磨きがしにくくなるため、虫歯や歯周病になりやすくなります
- 矯正治療後の保定が不十分だと後戻り(元の位置に戻ろうとする動き)をします
- 自費診療(保険適用外)となります
当サイトの内容、テキスト、画像等の無断転載、複製、複写、盗用を固く禁じます。

























