症例詳細
Case detail
【マウスピース矯正】【インビザライン】前歯の凸凹を治したい
治療症例の内容
- 診療科目
- 治療カテゴリ
- 担当医
- 町田睦月(ドクタープロフィール)
- 患者様
- 20代男性
- 矯正装置
- インビザライン
- 治療期間
- 1年
- 治療回数
- 5-10回
- 治療計画
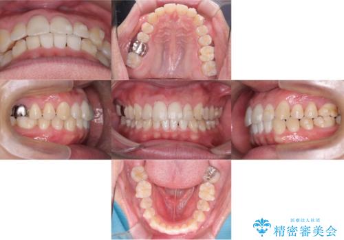
- 主訴:上下前歯の凸凹を治したい、下の前歯が見えないのも改善したい
インビザラインモデレートパッケージにてマウスピース矯正治療となりました。
- 費用(概算)
- 550,000円(税込み)費用は治療当時の料金となります
治療について
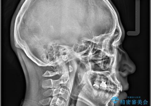
叢生の改善、前歯被蓋量の改善、顔に対しての正中の改善をインビザラインにて行いました。
モデレートパッケージは作製可能枚数26枚という枚数制限があるため、臼歯部はあまり大きな動きはしない設計にしています。
正中を合わせるため、マウスピースの装着とともに顎間ゴムも使用していただきました。
治療期間:12か月
リファイメント回数:2回
マウスピース矯正の注意事項(リスク・副作用など)
- 口腔内・歯並びの状態によっては対応できない場合があります
- マウスピース型矯正装置の長時間装着(1日20時間以上)が必須です
- 治療計画通りに進めるためには、患者様の意志が重要になります
- 矯正治療後の保定が不十分だと後戻り(元の位置に戻ろうとする動き)をします
- 薬機法対象外の矯正歯科装置のため医薬品副作用被害救済制度の対象外となる場合があります
- 自費診療(保険適用外)となります
当サイトの内容、テキスト、画像等の無断転載、複製、複写、盗用を固く禁じます。





