症例詳細
Case detail
変色したラミネートベニアをオールセラミッククラウンへ
治療症例の内容
- 診療科目
- 治療カテゴリ
- 担当医
- 藤巻太一朗(ドクタープロフィール)
- 患者様
- 40代女性
- 治療期間
- 2ヶ月
- 治療回数
- 2-5回
- 治療計画
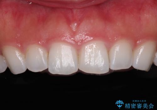
- 前歯のクラウンやラミネートベニアの変色を気にして来院された患者様です。
15年以上前に処置をしており、変色や歯肉の腫れなどが気になるため、オールセラミッククラウンにて補綴することとしました。
- 費用(概算)
- 治療費の目安: 60-70万円費用は治療当時の料金となります
治療を終えて
歯が元々変色していた方の場合、以前はラミネートベニアによる処置が多く行われていました。しかし、歯肉が腫れやすかったり、材料への着色などがあったりと長期的に見ると問題が色々と起こってしまいます。
現在はジルコニアを用いたオールセラミッククラウンが多く用いられ、長期的な予後も審美面の回復もラミネートベニアと比べて格段に上がっています。
リスクについて
セラミックは破折などにより修復や再製作が必要となることがあります。
根管治療後は一定の確率で症状が再発する可能性があります。
セラミック治療の注意事項(リスク・副作用など)
- 天然歯を削ります
- 硬い素材は天然歯を傷つけてしまう場合があります
- かみ合わせや歯ぎしりが強すぎる方はセラミックが割れてしまう可能性があります
- 自費診療(保険適用外治療)となります
当サイトの内容、テキスト、画像等の無断転載、複製、複写、盗用を固く禁じます。












