症例詳細
Case detail
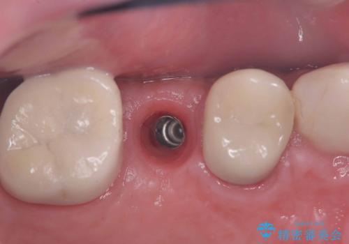
痛く無いインプラント治療!|残根状態の治療
治療症例の内容
- 担当医
- 河野豊嘉(ドクタープロフィール)
- 患者様
- 50代男性50
- 治療期間
- 6ヶ月
- 治療回数
- 2-5回
- 治療計画
- 被せ物が外れたを主訴に来院された患者様です。
診査の結果保存困難だったので、抜歯後インプラント治療を行いました。
- 費用(概算)
- 税込550,000円 インプラント手術とセラミッククラウンの全ての費用の合計費用は治療当時の料金となります
治療について
当院では、インプラント治療に際し、痛みの少ない治療を心がけております。
インプラント手術後、痛みが無かったことに患者様も大変驚かれ、治療にご満足いただけました。
インプラント治療の注意事項(リスク・副作用など)
- 外科手術のため、術後に痛みや腫れ、違和感を伴います
- メンテナンスを怠ったり喫煙により、お口の中に大きな悪影響を及ぼすインプラント周囲炎等にかかる可能性があります
- 糖尿病、肝硬変、心臓病等の場合、インプラント治療ができない可能性があります
- 高血圧、貧血・不整脈等の場合、インプラント治療後に治癒不全を招く可能性があります
- 自費診療(保険適用外治療)となります
セラミック治療の注意事項(リスク・副作用など)
- 天然歯を削ります
- 硬い素材は天然歯を傷つけてしまう場合があります
- かみ合わせや歯ぎしりが強すぎる方はセラミックが割れてしまう可能性があります
- 自費診療(保険適用外治療)となります
当サイトの内容、テキスト、画像等の無断転載、複製、複写、盗用を固く禁じます。





