症例詳細
Case detail
歯が取れた症例に対するセラミッククラウンによる修復
治療症例の内容
- 診療科目
- 治療カテゴリ
- 担当医
- 河口智英(ドクタープロフィール)
- 患者様
- 30代女性
- 治療期間
- 3ヶ月
- 治療回数
- 2-5回
- 治療計画
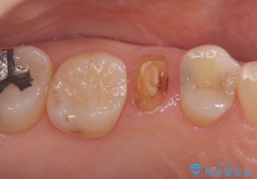
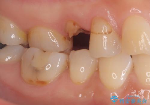
- 患者様は「歯が取れたこと」を主訴に来院されました。
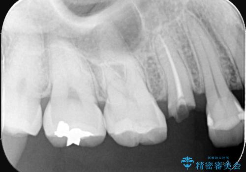
診査の結果、土台ごと脱離しており、歯質の残存量も少ない状態でした。
患者様は歯の保存を強く希望されたため、保存可能な範囲で丁寧に形成を行い、フェルール(歯冠縁下の歯質保持)を確保することを優先しました。
これにより、長期的な被せ物の安定性を目指しました。
- 費用(概算)
- 30万円費用は治療当時の料金となります
治療について
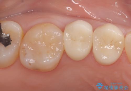
残存歯質を最大限に温存しつつ、フェルールを確保できるよう慎重に形成を行いました。
その後、型取りを行い、精密に適合するセラミッククラウンを作製しました。
クラウンの装着時には適合状態を確認し、接着操作を丁寧に行いました。
治療後は審美性と機能性の両面で良好な状態が得られ、患者様にもご満足いただけました。
セラミック治療の注意事項(リスク・副作用など)
- 天然歯を削ります
- 硬い素材は天然歯を傷つけてしまう場合があります
- かみ合わせや歯ぎしりが強すぎる方はセラミックが割れてしまう可能性があります
- 自費診療(保険適用外治療)となります
当サイトの内容、テキスト、画像等の無断転載、複製、複写、盗用を固く禁じます。










