症例詳細
Case detail
白い装置で八重歯を改善|抜歯矯正で見た目と噛み合わせ向上
治療症例の内容
- 診療科目
- 担当医
- 河口智英(ドクタープロフィール)
- 患者様
- 20代女性
- 矯正装置
- クリア装置
- 治療期間
- 1年6ヶ月
- 治療回数
- 10-30回
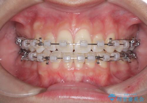
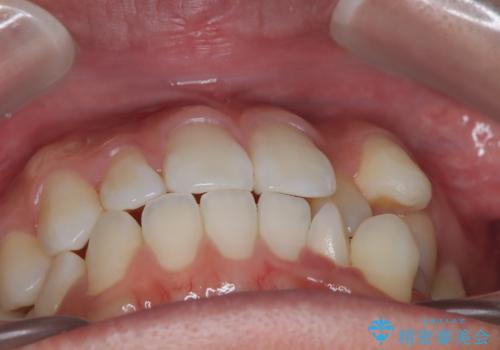
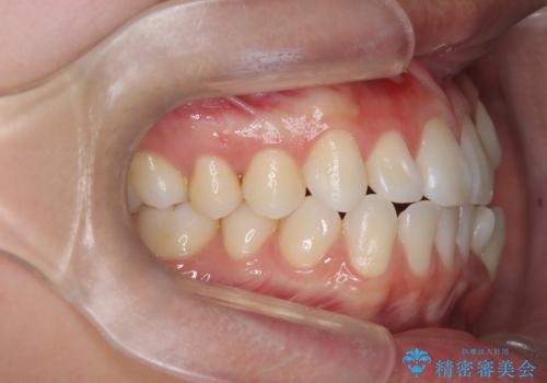
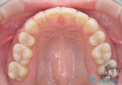
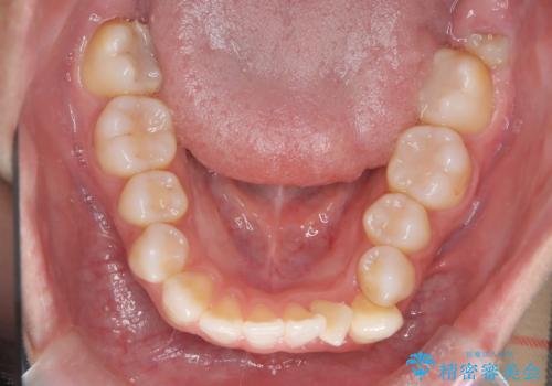
- 治療計画
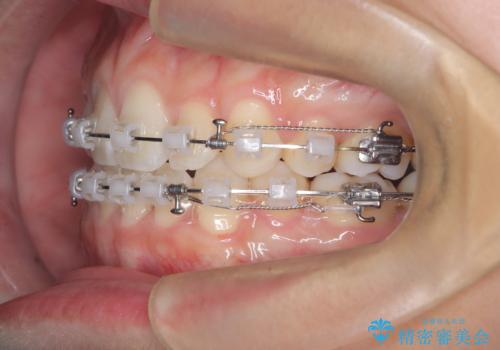
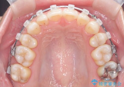
- 八重歯と前歯のガタつきを主訴として来院されました。診査の結果、歯列全体の叢生量が大きく、上下左右の第一小臼歯4本の抜歯が必要と判断。審美性にも配慮し、白いブラケットとメタルワイヤーを用いたクリア矯正装置での治療を選択しました。治療期間はおよそ1年半を見込んで計画しました。
- 費用(概算)
- 90万円費用は治療当時の料金となります
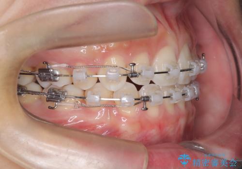
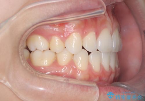
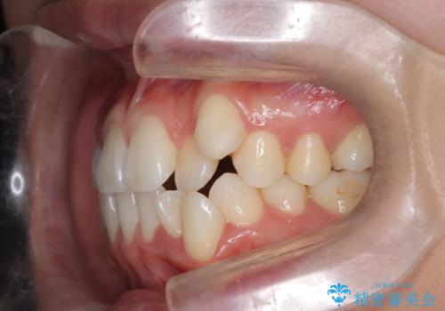
治療について
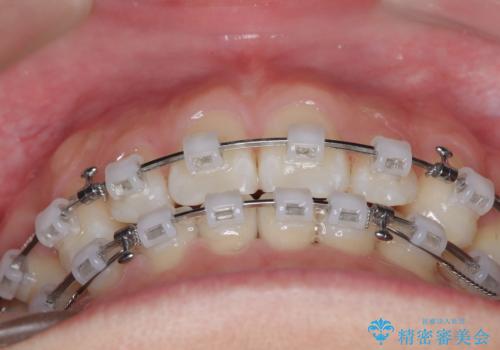
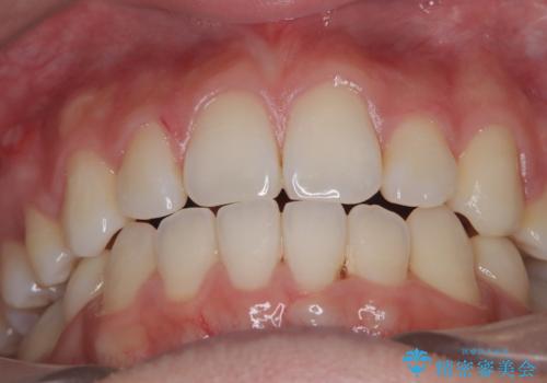
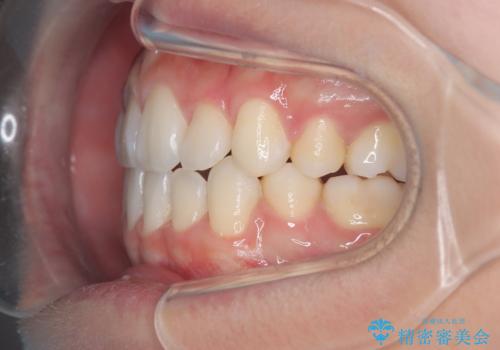
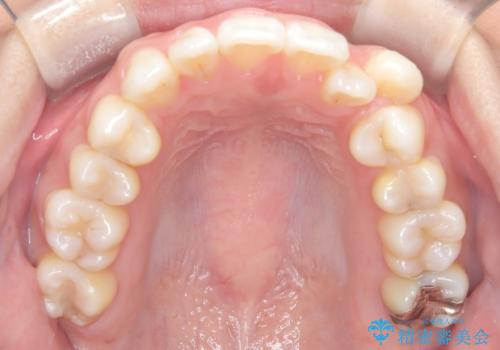
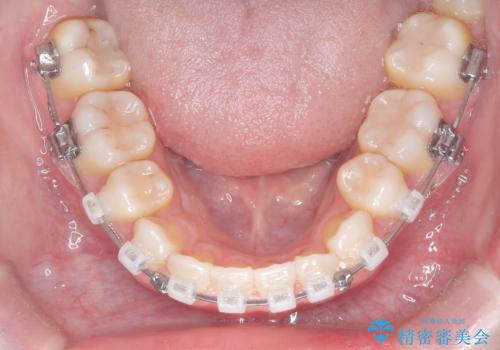
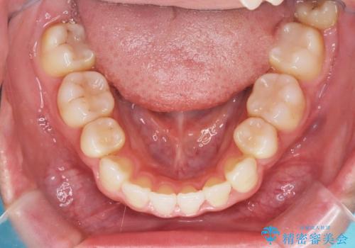
上下左右の第一小臼歯を抜歯し、クリアブラケット(白い装置)とメタルワイヤーを使用して矯正を開始。初期には犬歯のアーチ内への整列を優先し、中盤からは前歯と奥歯の咬合関係の調整を進めました。審美性に優れた装置を使用したことで、治療中も目立ちにくく、見た目へのストレスが少ない点も評価されています。全体の治療は1年半で完了し、見た目・噛み合わせともに大きく改善。患者本人も「短期間でここまで変わるとは思わなかった」と満足されていました。
ワイヤー矯正の注意事項(リスク・副作用など)
- 治療中は違和感や痛みが起こることがあります
- 症状により、抜歯が必要な場合があります
- 治療中は歯磨きがしにくくなるため、虫歯や歯周病になりやすくなります
- 矯正治療後の保定が不十分だと後戻り(元の位置に戻ろうとする動き)をします
- 自費診療(保険適用外)となります
当サイトの内容、テキスト、画像等の無断転載、複製、複写、盗用を固く禁じます。


















