症例詳細
Case detail
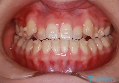
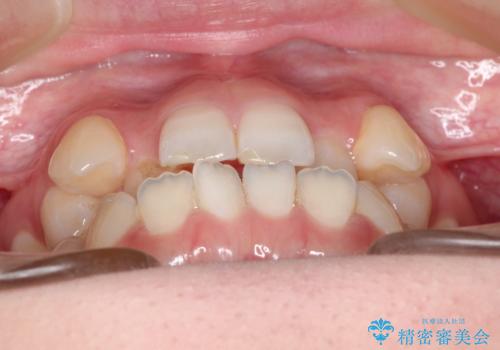
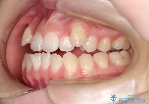
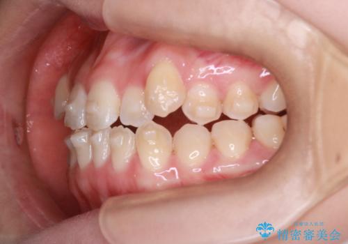
MARPEで非抜歯矯正|オープンバイトと八重歯を改善
治療症例の内容
- 診療科目
- 担当医
- 河口智英(ドクタープロフィール)
- 患者様
- 20代女性
- 矯正装置
- インビザライン
- 治療期間
- 3年
- 治療回数
- 10-30回
- 治療計画
- オープンバイトと八重歯を主訴として来院されました。診査の結果、上顎の骨格的な狭窄と重度の叢生が確認され、非抜歯での改善を希望されたため、MARPE(骨格性急速拡大装置)を用いて上顎の拡大を行う方針としました。その後、インビザラインにて歯列を整え、見た目と噛み合わせの両方を改善する計画としました。
- 費用(概算)
- 120万円費用は治療当時の料金となります
治療について
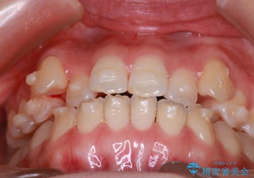
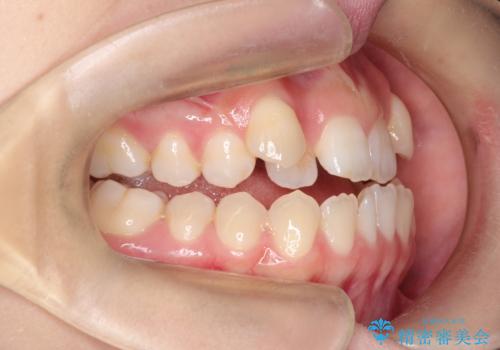
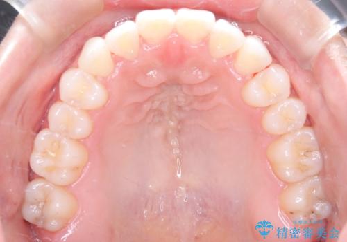
上顎にTAD(矯正用アンカースクリュー)を設置し、MARPEにより骨格レベルで上顎の幅を拡大。数週間の拡大期間を経て十分なスペースを確保したのち、マウスピース型矯正装置(インビザライン)で歯列全体を整えました。八重歯もアーチ内に自然に収まり、非抜歯で審美性と機能性を両立。治療後は「噛み合わせが安定して笑顔に自信が持てるようになった」とご本人にも大変満足していただきました。
マウスピース矯正の注意事項(リスク・副作用など)
- 口腔内・歯並びの状態によっては対応できない場合があります
- マウスピース型矯正装置の長時間装着(1日20時間以上)が必須です
- 治療計画通りに進めるためには、患者様の意志が重要になります
- 矯正治療後の保定が不十分だと後戻り(元の位置に戻ろうとする動き)をします
- 薬機法対象外の矯正歯科装置のため医薬品副作用被害救済制度の対象外となる場合があります
- 自費診療(保険適用外)となります
当サイトの内容、テキスト、画像等の無断転載、複製、複写、盗用を固く禁じます。




















