症例詳細
Case detail
充填物の変色を繰り返す前歯のセラミック治療
治療症例の内容
- 診療科目
- 治療カテゴリ
- 担当医
- 大元洋佑(ドクタープロフィール)
- 患者様
- 20代女性
- 治療期間
- 治療回数
- 2-5回
- 治療計画
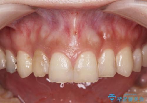
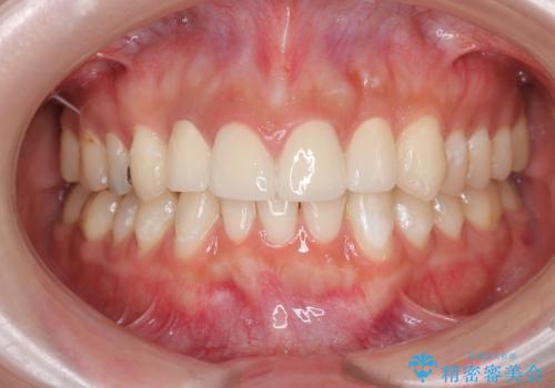
- 神経をとった前歯の変色や、前歯の充填物の変色が大きくなってきたので審美性の改善を求めて来院されました。
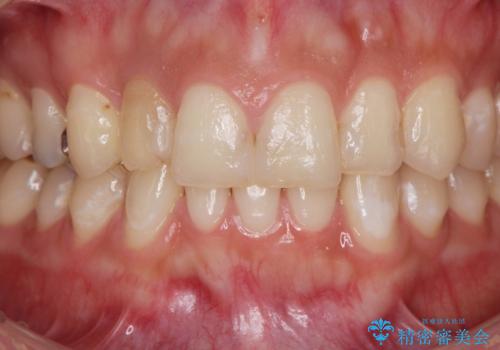
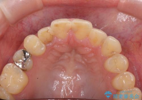
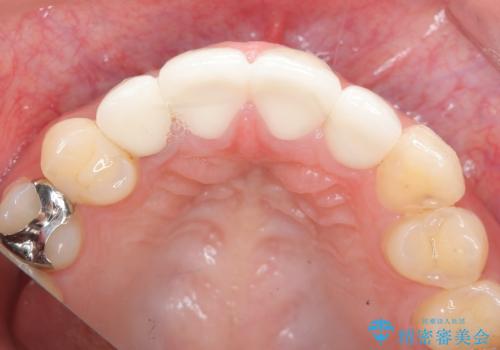
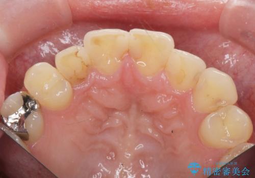
充填物や充填物下に再発した虫歯を丁寧に除去し、セラミッククラウンによる審美性の改善、虫歯治療を計画します。
- 費用(概算)
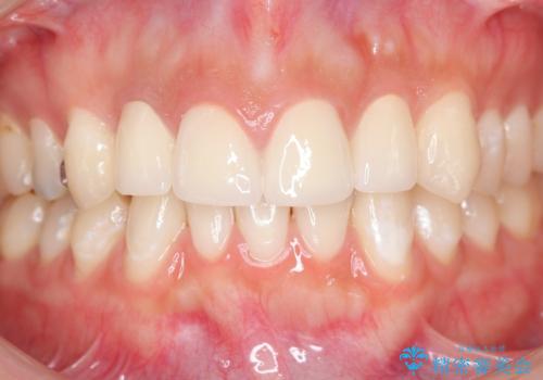
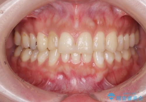
- 52.8万円(ジルコニアクラウン×4・仮歯×4)費用は治療当時の料金となります
治療について
レジン修復による充填は、劣化し、色調の変化による審美障害が生じることが多々あります。
ある程度の大きさになった充填物は、劣化の少ないセラミッククラウンにすることで色調の劣化を抑え、審美性を保つことができます。
セラミック治療の注意事項(リスク・副作用など)
- 天然歯を削ります
- 硬い素材は天然歯を傷つけてしまう場合があります
- かみ合わせや歯ぎしりが強すぎる方はセラミックが割れてしまう可能性があります
- 自費診療(保険適用外治療)となります
当サイトの内容、テキスト、画像等の無断転載、複製、複写、盗用を固く禁じます。

















