症例詳細
Case detail
【ワイヤー矯正】前歯の凸凹を治したい
治療症例の内容
- 診療科目
- 担当医
- 町田睦月(ドクタープロフィール)
- 患者様
- 30代女性
- 矯正装置
- ワイヤー矯正装置(審美装置)
- 治療期間
- 2年
- 治療回数
- 30回以上
- 治療計画
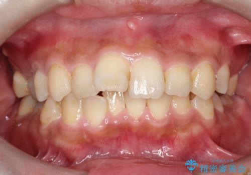
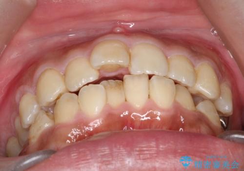
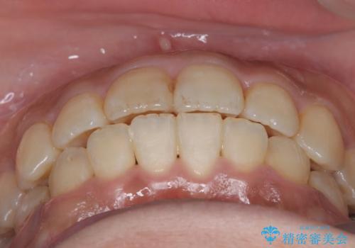
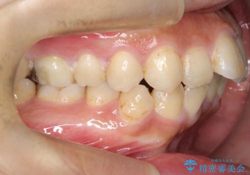
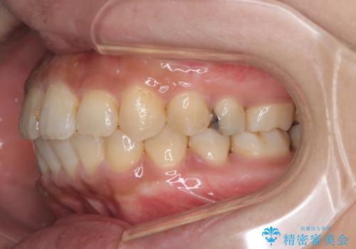
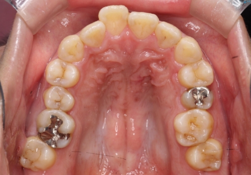
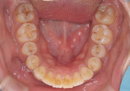
- 主訴:学生時代に矯正治療したが、後戻りしてしまった。上下前がのガタつきを治したい。
食品関係に努めており、頻繁に物を口にするためマウスピース矯正は装着時間を守ることが難しいことから非抜歯のワイヤー装置にて治療することとなりました。
- 費用(概算)
- 900,000費用は治療当時の料金となります
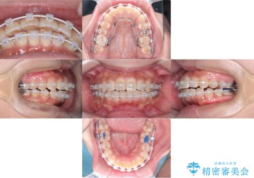
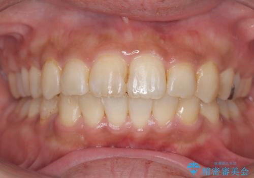
治療について
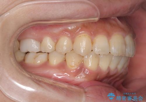
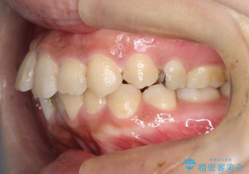
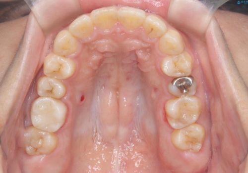
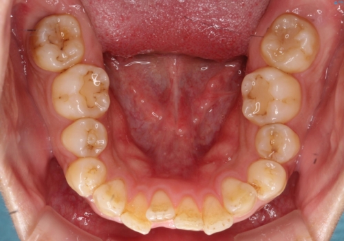
ワイヤー矯正(審美装置)非抜歯 治療期間:1年8か月
一日に物を口にする回数が多い方はマウスピース矯正における推奨装着時間を守ることや、その都度歯磨きをすることが難しいため、ワイヤー矯正での治療となりました。
途中、大臼歯の遠心移動のためリンガルアーチを使用しています。
ワイヤー矯正の注意事項(リスク・副作用など)
- 治療中は違和感や痛みが起こることがあります
- 症状により、抜歯が必要な場合があります
- 治療中は歯磨きがしにくくなるため、虫歯や歯周病になりやすくなります
- 矯正治療後の保定が不十分だと後戻り(元の位置に戻ろうとする動き)をします
- 自費診療(保険適用外)となります
当サイトの内容、テキスト、画像等の無断転載、複製、複写、盗用を固く禁じます。



















