症例詳細
Case detail
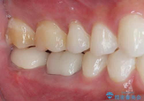
大きな虫歯ができて歯に穴が開いた オールセラミッククラウン
治療症例の内容
- 診療科目
- 治療カテゴリ
- 担当医
- 有澤哲郎(ドクタープロフィール)
- 患者様
- 20代男性
- 治療期間
- 1ヶ月
- 治療回数
- 2-5回
- 治療計画
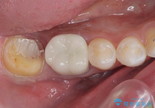
- 歯列矯正後の後戻りのチェックで来院された際に右下に虫歯ができて歯に穴が開いたとのことで来院された患者様です。
レントゲン撮影を行い、歯髄診査を行いました。歯髄の正常な反応を確認できたのでオールセラミッククラウンによる虫歯治療をすることにしました。
虫歯の上に歯茎が覆いかぶさっていたので、レーザーにて歯茎を除去し虫歯が大きいことが予想できたのでラバーダム防湿下で虫歯の除去をしました。
オールセラミッククラウンに適した形に整え、歯と歯茎の間に圧排糸と言われる糸を入れてシリコーン印象材にて型どりをしました。
- 費用(概算)
- 14万円(税込み)費用は治療当時の料金となります
治療について
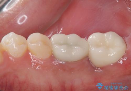
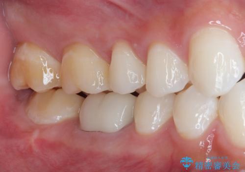
審美面、機能面共に満足していただけました。
舌側の虫歯が大きかったため歯茎の腫れが心配でしたが腫れもなく経過良好です。
引き続き矯正後の後戻りのチェックを行っていく予定です。
セラミック治療の注意事項(リスク・副作用など)
- 天然歯を削ります
- 硬い素材は天然歯を傷つけてしまう場合があります
- かみ合わせや歯ぎしりが強すぎる方はセラミックが割れてしまう可能性があります
- 自費診療(保険適用外治療)となります
その他の注意事項(リスク・副作用など)
- 担当歯科医師、歯科衛生士又は医院スタッフから受けた説明・注意事項をよくご確認ください
- 医療を提供するに当たり、適切な説明を行い、患者様の十分な理解を得るよう努めております
当サイトの内容、テキスト、画像等の無断転載、複製、複写、盗用を固く禁じます。









