症例詳細
Case detail
突き出た前歯を治したい 小臼歯抜歯+マルチブラケット矯正
治療症例の内容
- 診療科目
- 治療カテゴリ
- 担当医
- 大元洋佑(ドクタープロフィール)
- 患者様
- 20代女性
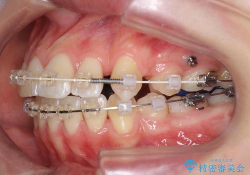
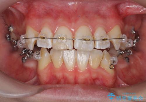
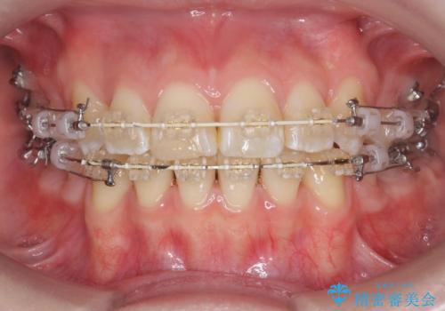
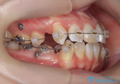
- 矯正装置
- ワイヤー矯正
- 治療期間
- 2年8ヶ月
- 治療回数
- 10-30回
- 治療計画
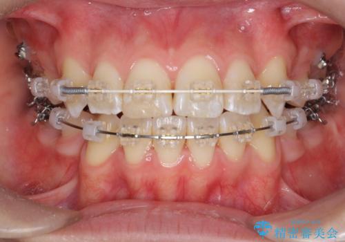
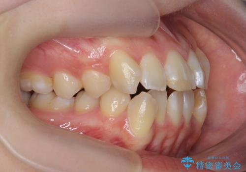
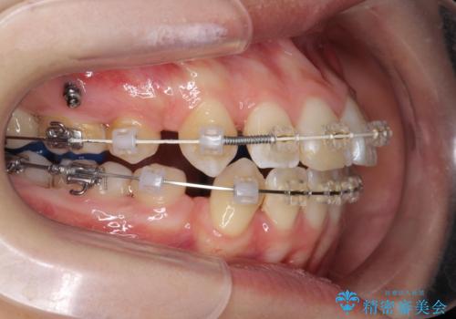
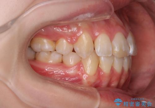
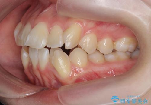
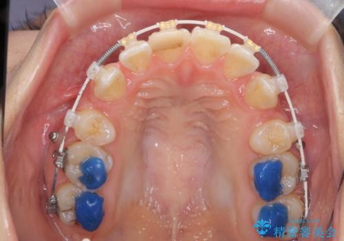
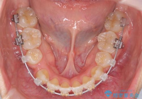
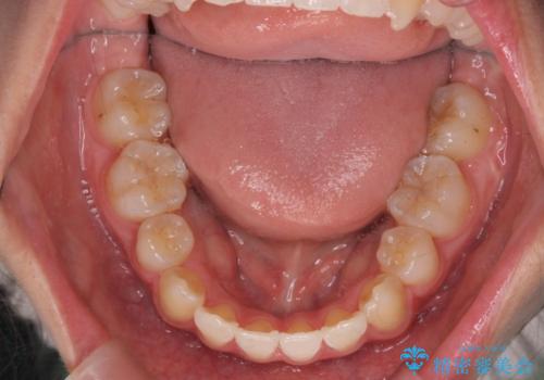
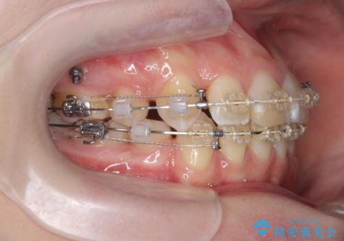
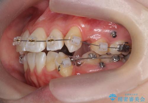
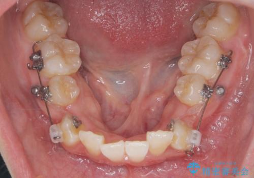
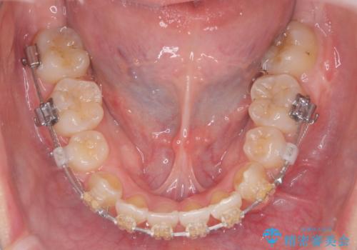
- 突き出て、気になる前歯の角度の改善を求めて来院されました。
前歯の角度を改善するために小臼歯4本の抜歯を行いワイヤー マルチブラケットを用いて、しっかりと前歯の角度を改善する治療計画としました。
- 費用(概算)
- 99万円費用は治療当時の料金となります
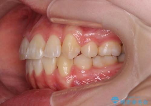
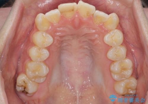
治療について
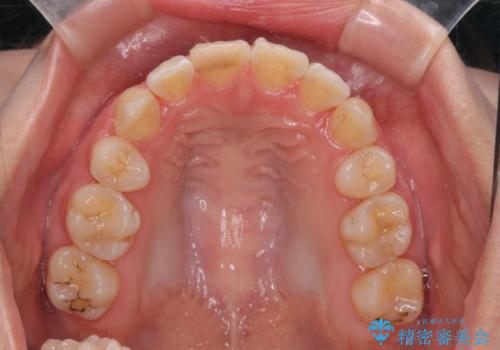
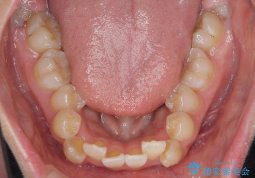
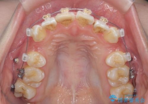
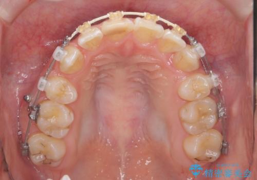
綺麗な歯並びを手に入れられたと同時に、口元もスッキリし、仕上がりに満足いただくことができました。
ワイヤー矯正の注意事項(リスク・副作用など)
- 治療中は違和感や痛みが起こることがあります
- 症状により、抜歯が必要な場合があります
- 治療中は歯磨きがしにくくなるため、虫歯や歯周病になりやすくなります
- 矯正治療後の保定が不十分だと後戻り(元の位置に戻ろうとする動き)をします
- 自費診療(保険適用外)となります
当サイトの内容、テキスト、画像等の無断転載、複製、複写、盗用を固く禁じます。

























