症例詳細
Case detail
ブリッジのぐらつき インプラントを用いた奥歯の噛み合わせの再構築
治療症例の内容
- 患者様
- 50代女性
- 治療期間
- 4ヶ月
- 治療回数
- 5-10回
- 治療計画
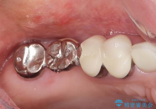
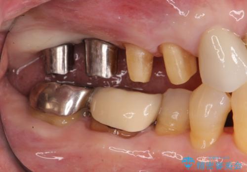
- 数年前にいれた右上のブリッジが、「ぐらついて痛い、噛めない。」と改善を希望され来院されました。
X線写真より、咬合力負担能力に十分で無い親知らずを使用した長いブリッジが装着されており、力の負担に耐え切れずぐらつきが増加してきた状態です。
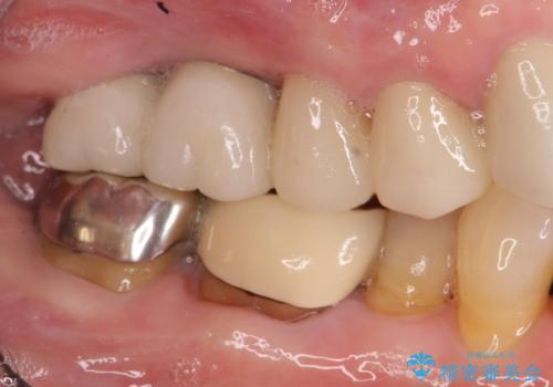
親知らず、ブリッジを抜去・撤去しインプラントを用いた咬合機能回復を行っていくこととしました。
- 費用(概算)
- 123.2万円(インプラント×2・チタンカスタムアバットメント×2・ジルコニアクラウン×4・仮歯×4)費用は治療当時の料金となります
治療について
しっかりと噛めるようになったと同時に歯ブラシもしやすくなり、食生活がまた楽しめるようになったと喜んでいただくことができました。
インプラント治療の注意事項(リスク・副作用など)
- 外科手術のため、術後に痛みや腫れ、違和感を伴います
- メンテナンスを怠ったり喫煙により、お口の中に大きな悪影響を及ぼすインプラント周囲炎等にかかる可能性があります
- 糖尿病、肝硬変、心臓病等の場合、インプラント治療ができない可能性があります
- 高血圧、貧血・不整脈等の場合、インプラント治療後に治癒不全を招く可能性があります
- 自費診療(保険適用外治療)となります
セラミック治療の注意事項(リスク・副作用など)
- 天然歯を削ります
- 硬い素材は天然歯を傷つけてしまう場合があります
- かみ合わせや歯ぎしりが強すぎる方はセラミックが割れてしまう可能性があります
- 自費診療(保険適用外治療)となります
当サイトの内容、テキスト、画像等の無断転載、複製、複写、盗用を固く禁じます。












