症例詳細
Case detail
スペース狭小な銀歯を白くしたい 歯冠長延長術を併用したセラミック治療
治療症例の内容
- 患者様
- 30代女性
- 治療期間
- 4ヶ月
- 治療回数
- 5-10回
- 治療計画
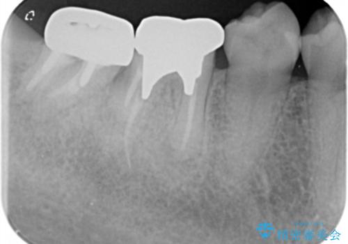
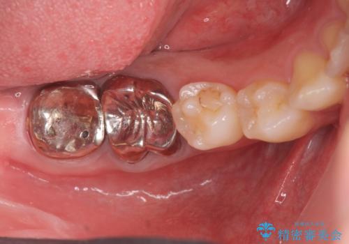
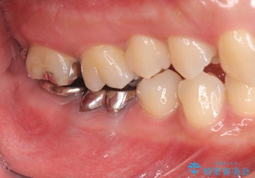
- 「笑った時に目立つ奥歯の銀歯を外して白くしたい。」と希望され来院されました。
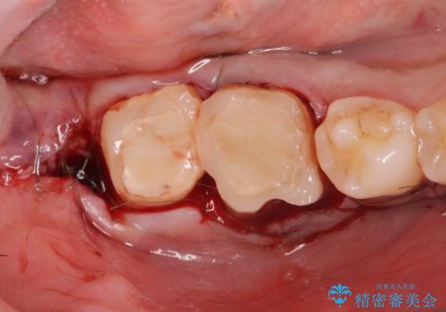
金属のクラウンは薄く加工しても壊れないことがメリットですが、セラミッククラウンを装着するにはスペースが少なすぎ、このまま治療を進めると外れやすく壊れ易いセラミッククラウンの設計となるため、歯周外科を行い狭小なスペースの拡大を行うこととしました。
- 費用(概算)
- 38.5万円(セラミッククラウン×2・仮歯×2 歯周外科手術)費用は治療当時の料金となります
治療について
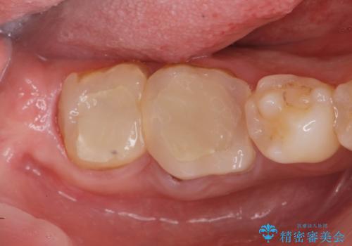
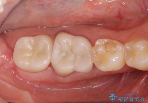
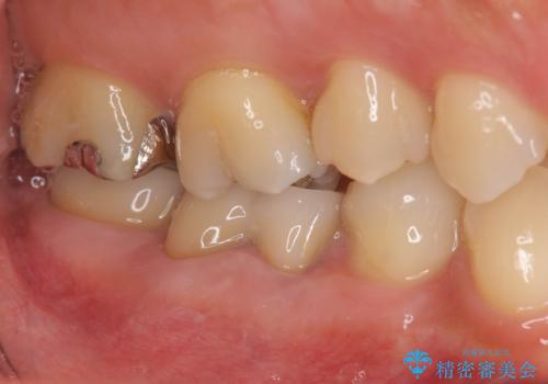
なんとかギリギリのスペースを確保するこおtができ、無事銀歯を外してセラミック治療を行うことができました。
外科処置の注意事項(リスク・副作用など)
- 外科手術のため、術後に出血、痛みや腫れ、違和感を伴います
- 口腔内の状態によっては適応できないことがあります
セラミック治療の注意事項(リスク・副作用など)
- 天然歯を削ります
- 硬い素材は天然歯を傷つけてしまう場合があります
- かみ合わせや歯ぎしりが強すぎる方はセラミックが割れてしまう可能性があります
- 自費診療(保険適用外治療)となります
当サイトの内容、テキスト、画像等の無断転載、複製、複写、盗用を固く禁じます。













