症例詳細
Case detail
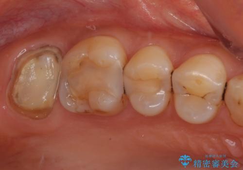
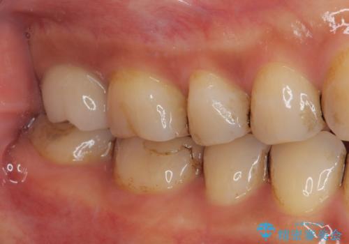
被せものが欠けた オールセラミッククラウン
治療症例の内容
- 診療科目
- 治療カテゴリ
- 担当医
- 有澤哲郎(ドクタープロフィール)
- 患者様
- 40代女性
- 治療期間
- 1ヶ月
- 治療回数
- 2-5回
- 治療計画
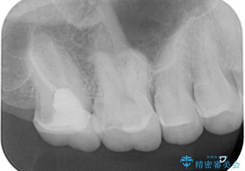
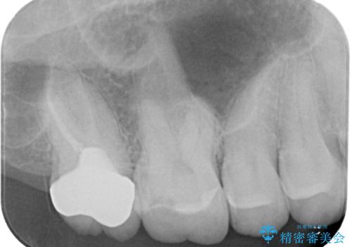
- 奥歯の被せものが欠けたとのことで来院された患者様です。上の奥歯なので機能面や強度を優先しPGAクラウン(ゴールドクラウン)のご提案をしましたが、セラミックの被せものがよいとのことでオールセラミッククラウンによる補綴治療を行っていくことにしました。
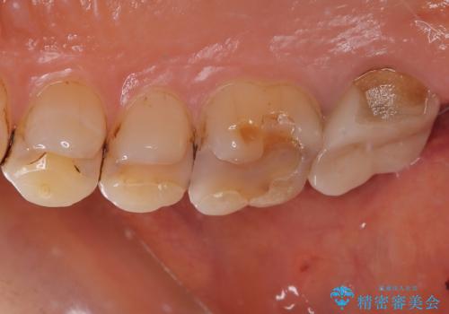
拡大鏡視野下で古い被せものを除去し、オールセラミッククラウンに適した形に整えました。
歯と歯茎の間に圧排糸と言われる糸を入れてシリコーン印象材にて型どりをしました。
患者様のご希望により、根管治療、土台のやり替えは行っていません。
- 費用(概算)
- 14万円費用は治療当時の料金となります
治療について
PGAクラウン(Platinum Gold Alloy)は、高い生体親和性、耐久性、適合性が特徴としてあげられます。
上顎の奥歯などの審美性よりも機能面などを優先する場合には選択肢としてご提案できます。
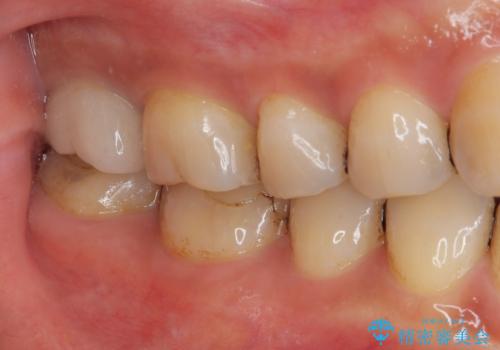
患者さまにはオールセラミッククラウンの色味、機能面共に満足していただけました。
今後はナイトガードを使用してもらいながら、メインテナンスで通っていただく予定です
セラミック治療の注意事項(リスク・副作用など)
- 天然歯を削ります
- 硬い素材は天然歯を傷つけてしまう場合があります
- かみ合わせや歯ぎしりが強すぎる方はセラミックが割れてしまう可能性があります
- 自費診療(保険適用外治療)となります
その他の注意事項(リスク・副作用など)
- 担当歯科医師、歯科衛生士又は医院スタッフから受けた説明・注意事項をよくご確認ください
- 医療を提供するに当たり、適切な説明を行い、患者様の十分な理解を得るよう努めております
当サイトの内容、テキスト、画像等の無断転載、複製、複写、盗用を固く禁じます。









