症例詳細
Case detail
出っ歯、ガタつきの改善 ワイヤー矯正治療
治療症例の内容
- 診療科目
- 治療カテゴリ
- 担当医
- 草深敏毅(ドクタープロフィール)
- 患者様
- 30代男性
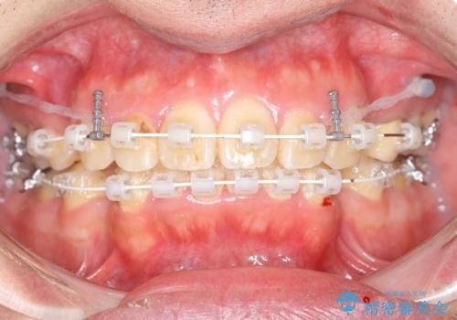
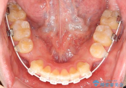
- 矯正装置
- 審美装置
- 治療期間
- 3年
- 治療回数
- 30回以上
- 治療計画
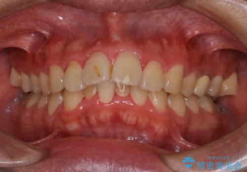
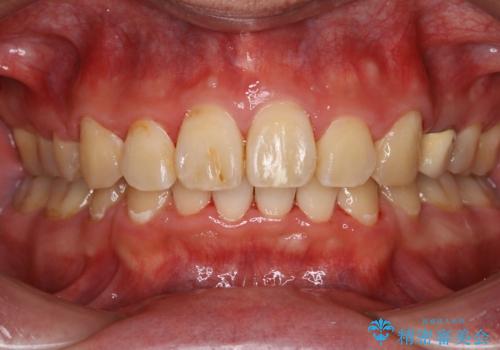
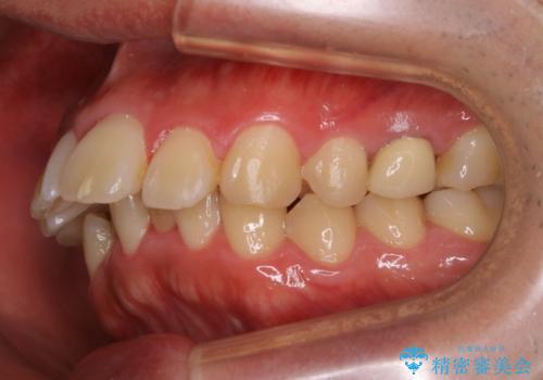
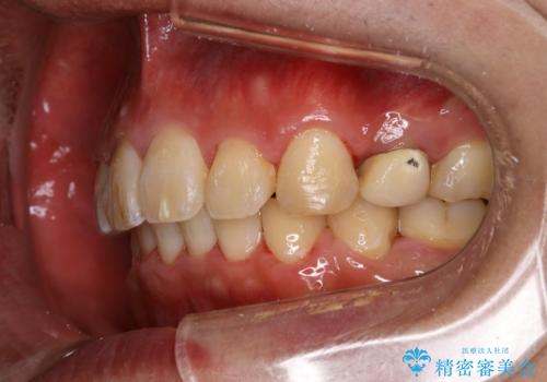
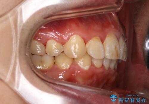
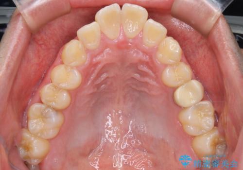
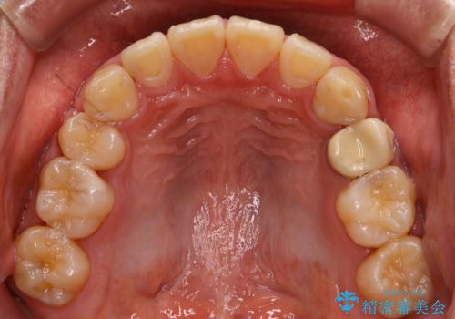
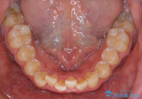
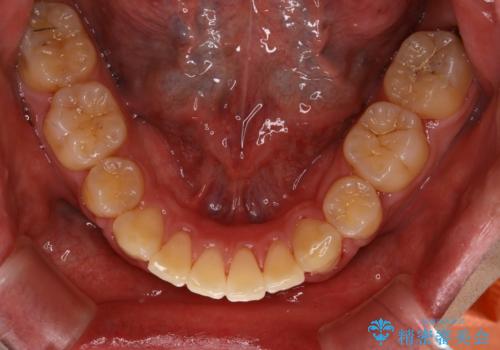
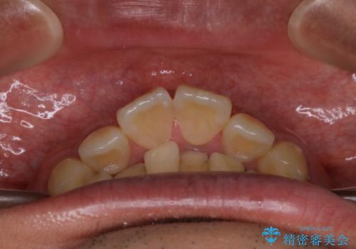
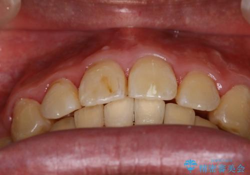
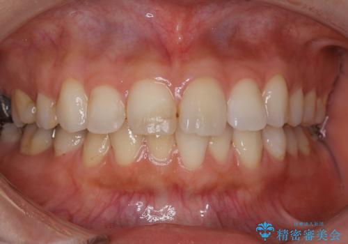
- 上顎前歯の突出感と下顎前歯のガタつきが主訴で来院されました。
出っ歯とガタつきの改善を行うには抜歯が必要と診断し、上下左右第一小臼歯を抜歯する計画を立てました。
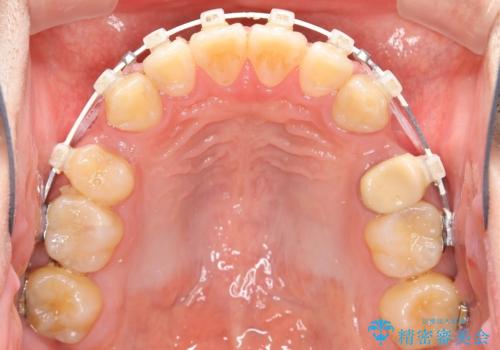
抜歯する事で歯の移動量が大きいことからワイヤー表側矯正装置で治療を行うことになりました。
- 費用(概算)
- 90万円費用は治療当時の料金となります
治療について
今回のような歯の移動量が大きい場合、インビザライン治療では歯が傾いてしまう場合があります。
また、かみ合わせが深い方の場合、インビザライン治療によってさらにかみ合わせが深くばってしまう場合があります。
ワイヤー治療では歯の傾きを抑えながら大きい距離の移動が可能で、かみ合わせが深くなるリスクも少ないです。
細かな動きはインビザライン治療の方が得意ですし、オープンバイト(開咬)と呼ばれる治療はかみ合わせを深くすることができるインビザラインの方が向いています。
それぞれの特性、得意な治療がありますので、患者様の状態に合わせた治療器具の選択が大事となります。
ワイヤー矯正の注意事項(リスク・副作用など)
- 治療中は違和感や痛みが起こることがあります
- 症状により、抜歯が必要な場合があります
- 治療中は歯磨きがしにくくなるため、虫歯や歯周病になりやすくなります
- 矯正治療後の保定が不十分だと後戻り(元の位置に戻ろうとする動き)をします
- 自費診療(保険適用外)となります
当サイトの内容、テキスト、画像等の無断転載、複製、複写、盗用を固く禁じます。





















