症例詳細
Case detail
前歯のガタつきを改善 抜歯矯正後の後戻り
治療症例の内容
- 診療科目
- 治療カテゴリ
- 担当医
- 草深敏毅(ドクタープロフィール)
- 患者様
- 20代女性
- 矯正装置
- 審美装置
- 治療期間
- 1年
- 治療回数
- 5-10回
- 治療計画
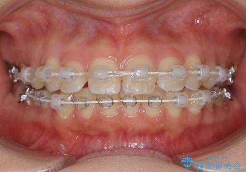
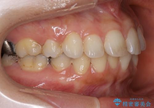
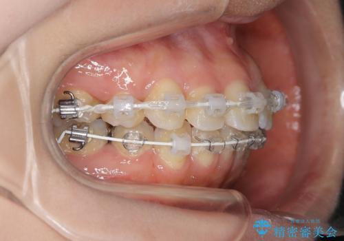
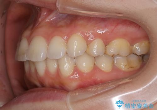
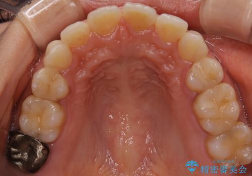
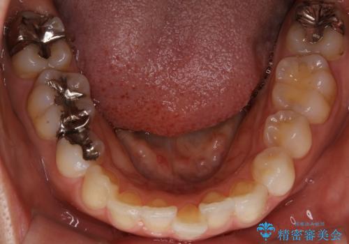
- 抜歯矯正後の後戻りで前歯ガタつきが主訴で来院された患者様です。
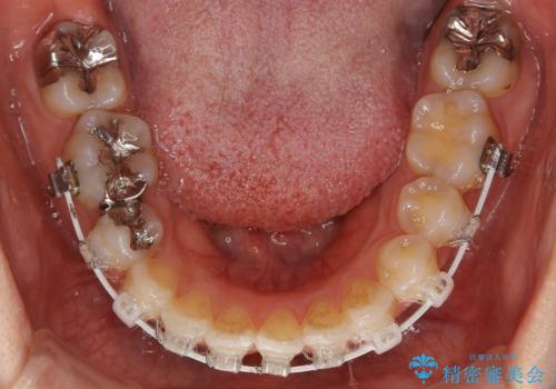
後戻り矯正や非抜歯矯正はインビザラインをご案内する事が多いですが、自己管理の煩わしさから、目立たないワイヤー装置にて矯正治療を行うこととしました。
- 費用(概算)
- 66万円費用は治療当時の料金となります
治療について
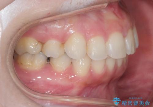
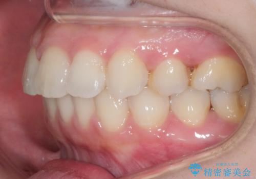
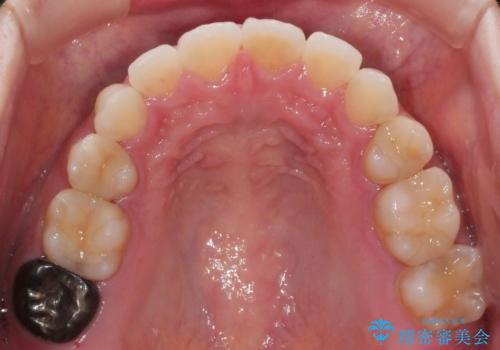
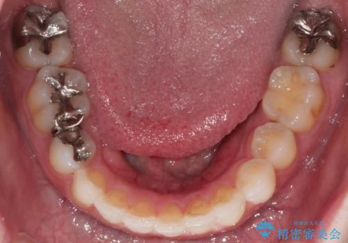
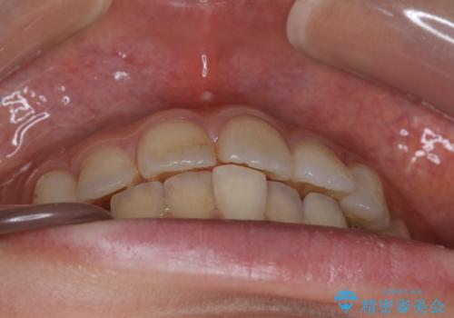
後戻りの程度としては軽度なので、治療期間としては短く終えることが出来ました。
前歯の正中線も改善され大変満足して頂きました。
ワイヤー矯正の注意事項(リスク・副作用など)
- 治療中は違和感や痛みが起こることがあります
- 症状により、抜歯が必要な場合があります
- 治療中は歯磨きがしにくくなるため、虫歯や歯周病になりやすくなります
- 矯正治療後の保定が不十分だと後戻り(元の位置に戻ろうとする動き)をします
- 自費診療(保険適用外)となります
当サイトの内容、テキスト、画像等の無断転載、複製、複写、盗用を固く禁じます。

















