症例詳細
Case detail
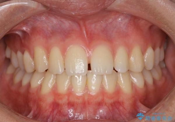
[インビザラインライト] すきっ歯を治したい。
治療症例の内容
- 診療科目
- 担当医
- 草深敏毅(ドクタープロフィール)
- 患者様
- 10代女性
- 矯正装置
- インビザライン
- 治療期間
- 4ヶ月
- 治療回数
- 5-10回
- 治療計画
- すきっ歯を主訴に来院されました。
インビザライン・クリンチェック(歯のシミュレーション)を行い、
インビザラインライトで治せる範囲である事を確認し治療を治療を開始することになりました。
- 費用(概算)
- 45万円費用は治療当時の料金となります
治療について
すきっ歯(空隙歯列)とは、歯と歯の間に隙間が空いていることを言います。
自然に歯と歯の間に隙間が空いてしまう方、
子供の時からの習慣が原因ですきっ歯になる方、
虫歯や歯周病が原因で抜歯したことにより、歯の並びのバランスが崩れて隙間が空いてしまう方、原因は様々です。
すきっ歯は審美面だけでなく、発音に支障が出て活舌が悪くなってしまったり、隙間に食べカスが詰まりやすくなり、虫歯や歯周病の原因になる場合があります。
今回の治療はマウスピース14枚・期間4ヶ月で主訴であるすきっ歯を改善し、治療を終えることが出来ました。
マウスピース矯正の注意事項(リスク・副作用など)
- 口腔内・歯並びの状態によっては対応できない場合があります
- マウスピース型矯正装置の長時間装着(1日20時間以上)が必須です
- 治療計画通りに進めるためには、患者様の意志が重要になります
- 矯正治療後の保定が不十分だと後戻り(元の位置に戻ろうとする動き)をします
- 薬機法対象外の矯正歯科装置のため医薬品副作用被害救済制度の対象外となる場合があります
- 自費診療(保険適用外)となります
当サイトの内容、テキスト、画像等の無断転載、複製、複写、盗用を固く禁じます。

![[インビザラインライト] すきっ歯を治したい。の治療前](https://seimitsushinbi.jp/wp/wp-content/uploads/2025/05/IMG_2278-500x350.jpg?v=1746624784)
![[インビザラインライト] すきっ歯を治したい。の治療後](https://seimitsushinbi.jp/wp/wp-content/uploads/2025/05/IMG_8878-500x350.jpg?v=1746624912)
![[インビザラインライト] すきっ歯を治したい。の治療前](https://seimitsushinbi.jp/wp/wp-content/uploads/2025/05/IMG_2279-500x350.jpg?v=1746624787)
![[インビザラインライト] すきっ歯を治したい。の治療後](https://seimitsushinbi.jp/wp/wp-content/uploads/2025/05/IMG_8882-500x350.jpg?v=1746624925)
![[インビザラインライト] すきっ歯を治したい。の治療前](https://seimitsushinbi.jp/wp/wp-content/uploads/2025/05/IMG_2281-500x350.jpg?v=1746624791)
![[インビザラインライト] すきっ歯を治したい。の治療後](https://seimitsushinbi.jp/wp/wp-content/uploads/2025/05/IMG_8883-500x350.jpg?v=1746624931)
![[インビザラインライト] すきっ歯を治したい。の治療前](https://seimitsushinbi.jp/wp/wp-content/uploads/2025/05/IMG_2284-500x350.jpg?v=1746624793)
![[インビザラインライト] すきっ歯を治したい。の治療後](https://seimitsushinbi.jp/wp/wp-content/uploads/2025/05/IMG_8886-500x350.jpg?v=1746624935)
![[インビザラインライト] すきっ歯を治したい。の治療前](https://seimitsushinbi.jp/wp/wp-content/uploads/2025/05/IMG_2294-500x350.jpg?v=1746624803)
![[インビザラインライト] すきっ歯を治したい。の治療後](https://seimitsushinbi.jp/wp/wp-content/uploads/2025/05/IMG_8887-500x350.jpg?v=1746624937)
![[インビザラインライト] すきっ歯を治したい。の治療前](https://seimitsushinbi.jp/wp/wp-content/uploads/2025/05/IMG_2286-500x350.jpg?v=1746624796)
![[インビザラインライト] すきっ歯を治したい。の治療後](https://seimitsushinbi.jp/wp/wp-content/uploads/2025/05/IMG_8880-500x350.jpg?v=1746624916)
![[インビザラインライト] すきっ歯を治したい。の治療前](https://seimitsushinbi.jp/wp/wp-content/uploads/2025/05/IMG_2289-500x350.jpg?v=1746624799)
![[インビザラインライト] すきっ歯を治したい。の治療後](https://seimitsushinbi.jp/wp/wp-content/uploads/2025/05/IMG_8881-500x350.jpg?v=1746624921)