症例詳細
Case detail
隙間の空いた奥歯 オールセラミッククラウンの補綴治療
治療症例の内容
- 診療科目
- 治療カテゴリ
- 担当医
- 藤巻太一朗(ドクタープロフィール)
- 患者様
- 30代女性
- 治療期間
- 1ヶ月
- 治療回数
- 2-5回
- 治療計画
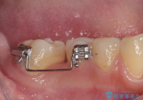
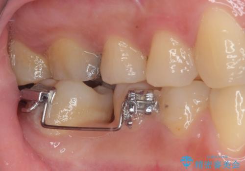
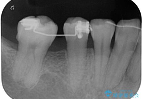
- 1本欠損したままの奥歯の治療を終えたいとのことで来院された患者様です。
奥歯が1本欠損した状態で矯正治療を行っていたそうですが、どのように治療を終了させるか未決のまま矯正装置を除去してしまい、暫く放置されている状態でした。
理想的には残っている歯のスペースを詰め、最後方にインプラントを埋入することが理想的ではありますが、矯正治療期間や費用の面から、前後に歯を大きくする補綴治療を行うことで対応することとなりました。
- 費用(概算)
- 治療費の目安: 10万円(税込)費用は治療当時の料金となります
治療について
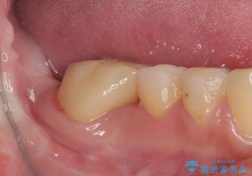
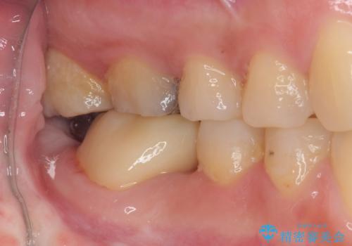
矯正装置を長いこと付けていたことで、歯が大きく捻転してしまい、舌に当たる感覚を気にしていらっしゃいましたが、補綴治療により捻転とともに解消することができました。
上顎の最後臼歯と咬み合わせるために前後径が大きくなっており、歯肉周りに汚れが溜まりやすくなるため、日々の清掃と定期的なクリーニングが必要となります。
セラミック治療の注意事項(リスク・副作用など)
- 天然歯を削ります
- 硬い素材は天然歯を傷つけてしまう場合があります
- かみ合わせや歯ぎしりが強すぎる方はセラミックが割れてしまう可能性があります
- 自費診療(保険適用外治療)となります
当サイトの内容、テキスト、画像等の無断転載、複製、複写、盗用を固く禁じます。








