症例詳細
Case detail
奥歯のむし歯が痛い セラミックによるむし歯治療
治療症例の内容
- 担当医
- 藤巻太一朗(ドクタープロフィール)
- 患者様
- 20代女性
- 治療期間
- 2ヶ月
- 治療回数
- 5-10回
- 治療計画
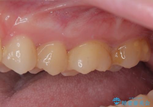
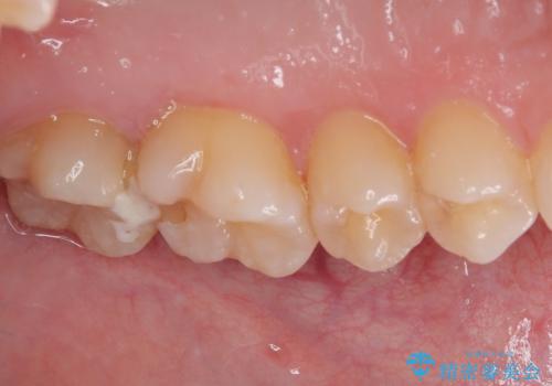
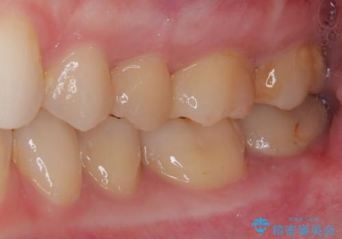
- 奥歯に激痛が走り近医を受診したところ、根管治療が必要とのことで、当院での治療を希望して来院された患者様です。
奥歯2歯の間からむし歯が広がったようで、最後方歯は既に神経が失活している状態で、手前の歯は神経組織に問題はないものの速やかに処置が必要な状態でした。
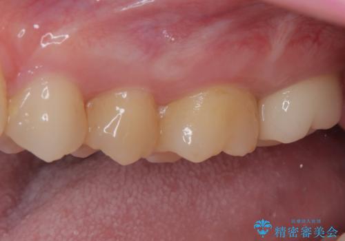
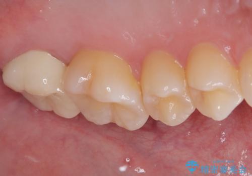
最後方歯は根管治療を行った上でオールセラミッククラウンにて補綴治療を行うこととし、手前の歯はセラミックインレーにて修復治療を行うこととしました。
- 費用(概算)
- 治療費の目安: 35万円(税込)費用は治療当時の料金となります
治療について
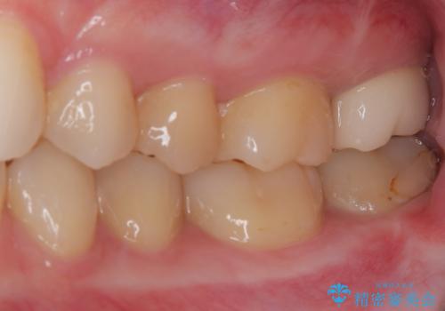
当院に来院された時には既に痛みはなく、治療終了までスムーズに進めることができました。
今後は定期的にレントゲン写真を撮りながら、根管治療の経過観察を行っていくことになります。
根管治療の注意事項(リスク・副作用など)
- 根管治療により類似の全ての症例の問題が解決するわけではなく、症例はあくまでも一例です
- 根管治療により痛みや腫れがひかない事や、術後に痛みや腫れが生じる事、治療によるファイル破折やパーフォレーションなどの偶発症、術後の歯根破折を生じる可能性もあります
- 自費診療(保険適用外)となります
セラミック治療の注意事項(リスク・副作用など)
- 天然歯を削ります
- 硬い素材は天然歯を傷つけてしまう場合があります
- かみ合わせや歯ぎしりが強すぎる方はセラミックが割れてしまう可能性があります
- 自費診療(保険適用外治療)となります
当サイトの内容、テキスト、画像等の無断転載、複製、複写、盗用を固く禁じます。












