症例詳細
Case detail
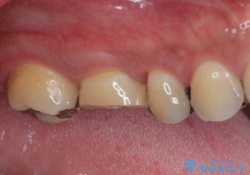
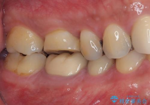
治療途中の奥歯 オールセラミッククラウンでのむし歯治療
治療症例の内容
- 診療科目
- 担当医
- 藤巻太一朗(ドクタープロフィール)
- 患者様
- 40代男性
- 治療期間
- 3ヶ月
- 治療回数
- 2-5回
- 治療計画
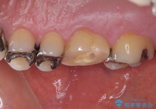
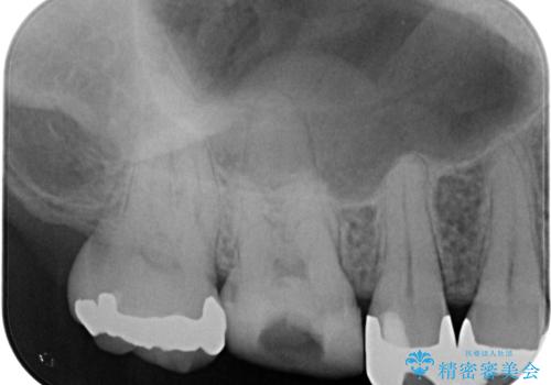
- 近医にて治療を行っていたものの、痛みがなかなか引かないとのことで転院されてきた患者様です。
上下で接触しないように削られていたため、日常生活で痛みを感じることはありませんでしたが、歯を叩くと痛みを感じる状態でした。
前医ではラバーダムの装着をされていない状態で根管治療を行っていたようで、その他の器具や処置も無菌的環境下であったとは考えにくいため、それが痛みがなかなか引かない原因の一つであると考えられました。
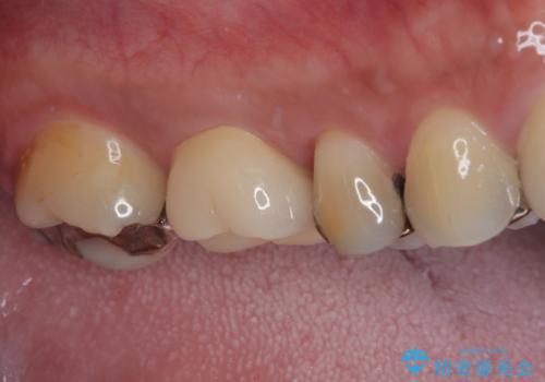
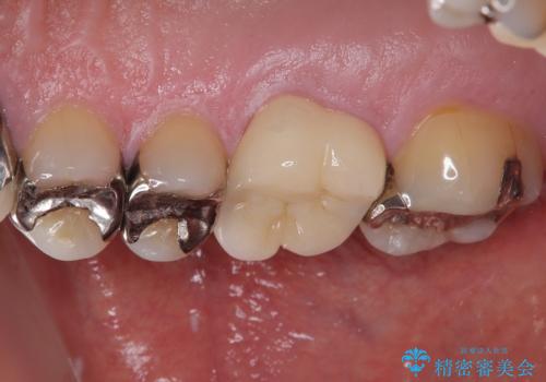
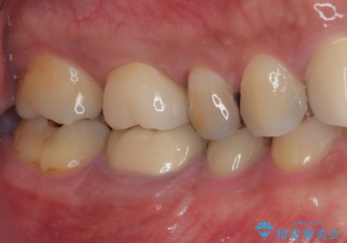
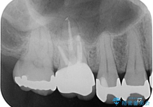
根管治療後に痛みの消失を確認し、オールセラミッククラウンにて補綴治療を行うこととしました。
- 費用(概算)
- 治療費の目安: 27万円(税込)費用は治療当時の料金となります
治療について
初回の根管治療時に仮歯を装着しましたが、仮歯を介して食事などを行っても痛みは感じなくなっており、その後は速やかに補綴治療を行いました。
根管治療の注意事項(リスク・副作用など)
- 根管治療により類似の全ての症例の問題が解決するわけではなく、症例はあくまでも一例です
- 根管治療により痛みや腫れがひかない事や、術後に痛みや腫れが生じる事、治療によるファイル破折やパーフォレーションなどの偶発症、術後の歯根破折を生じる可能性もあります
- 自費診療(保険適用外)となります
セラミック治療の注意事項(リスク・副作用など)
- 天然歯を削ります
- 硬い素材は天然歯を傷つけてしまう場合があります
- かみ合わせや歯ぎしりが強すぎる方はセラミックが割れてしまう可能性があります
- 自費診療(保険適用外治療)となります
当サイトの内容、テキスト、画像等の無断転載、複製、複写、盗用を固く禁じます。











