症例詳細
Case detail
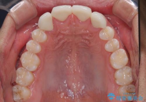
欠損して隙間のある前歯 オールセラミッククラウンで自然な口元に
治療症例の内容
- 診療科目
- 治療カテゴリ
- 担当医
- 藤巻太一朗(ドクタープロフィール)
- 患者様
- 20代男性
- 治療期間
- 1ヶ月
- 治療回数
- 2-5回
- 治療計画
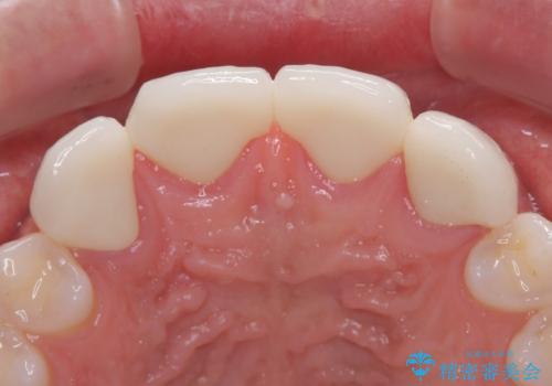
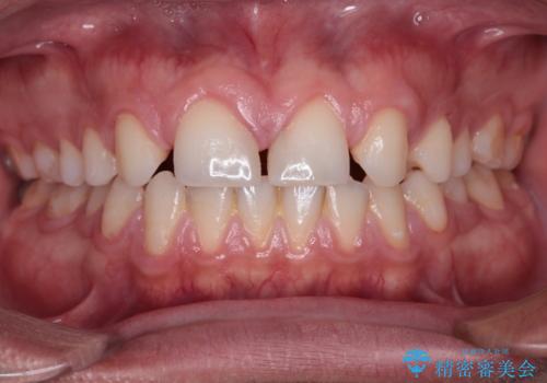
- 歯の欠損による前歯のすきっ歯を気にして来院された患者様です。
矯正治療かオールセラミックか、治療の選択がありましたが、熟考の末オールセラミッククラウンにて補綴することとしました。
- 費用(概算)
- 治療費の目安: 55万円(税込)費用は治療当時の料金となります
治療について
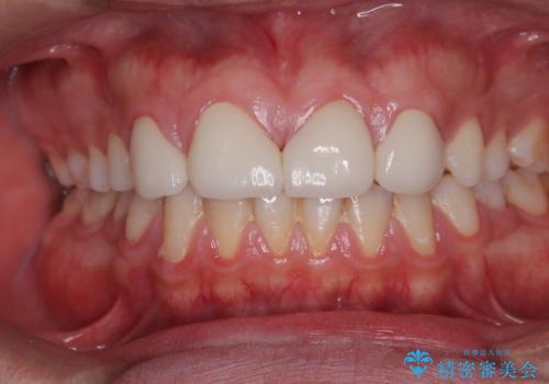
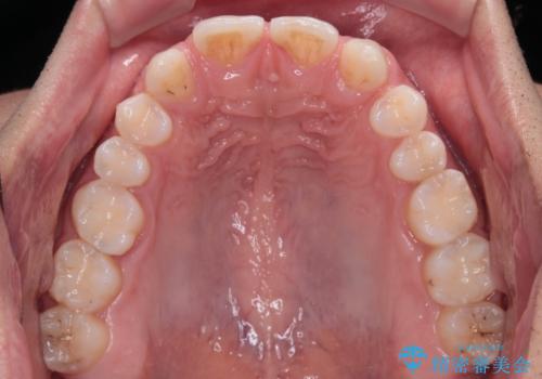
ひとつひとつの歯の幅は非常に大きくなりましたが、手っ取り早く隙間が改善されたとのことで、大変満足していらっしゃいました。
セラミック治療の注意事項(リスク・副作用など)
- 天然歯を削ります
- 硬い素材は天然歯を傷つけてしまう場合があります
- かみ合わせや歯ぎしりが強すぎる方はセラミックが割れてしまう可能性があります
- 自費診療(保険適用外治療)となります
当サイトの内容、テキスト、画像等の無断転載、複製、複写、盗用を固く禁じます。










