症例詳細
Case detail
骨よりも深く進行したむし歯 即時荷重インプラントでの短期間治療
治療症例の内容
- 担当医
- 藤巻太一朗(ドクタープロフィール)
- 患者様
- 50代女性
- 治療期間
- 6ヶ月
- 治療回数
- 5-10回
- 治療計画
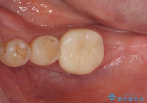
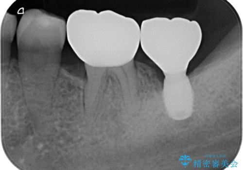
- 左下奥のクラウンに違和感を感じるとのことで来院された患者様です。
最後方歯は歯槽骨よりも深い部分にまでむし歯が及んでおり、患者様と相談の上、インプラントによる補綴治療を行うこととしました。
根尖部の病変が小さいことから抜歯即時埋入が選択されるところですが、抜歯窩洞が大きくなることと、窩洞直下に神経や血管が走行していることから、抜歯してから2,3ヶ月待機してから埋入することとしました。
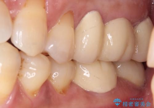
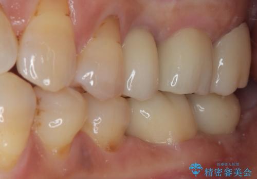
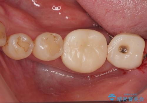
手前の歯は、適合の悪いクラウンを最後方歯と同時にオールセラミッククラウンにて補綴治療を行うこととしました。
- 費用(概算)
- 治療費の目安: 55万円(税込)費用は治療当時の料金となります
治療について
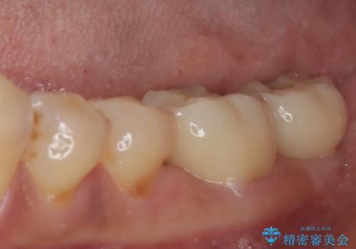
骨の高さが不十分であったため、インプラント強度を維持しながらも高さの小さいインプランを使用しました。
インプラント治療の注意事項(リスク・副作用など)
- 外科手術のため、術後に痛みや腫れ、違和感を伴います
- メンテナンスを怠ったり喫煙により、お口の中に大きな悪影響を及ぼすインプラント周囲炎等にかかる可能性があります
- 糖尿病、肝硬変、心臓病等の場合、インプラント治療ができない可能性があります
- 高血圧、貧血・不整脈等の場合、インプラント治療後に治癒不全を招く可能性があります
- 自費診療(保険適用外治療)となります
セラミック治療の注意事項(リスク・副作用など)
- 天然歯を削ります
- 硬い素材は天然歯を傷つけてしまう場合があります
- かみ合わせや歯ぎしりが強すぎる方はセラミックが割れてしまう可能性があります
- 自費診療(保険適用外治療)となります
当サイトの内容、テキスト、画像等の無断転載、複製、複写、盗用を固く禁じます。












