症例詳細
Case detail
放置していたむし歯 抜歯即時埋入インプラントによる補綴治療
治療症例の内容
- 患者様
- 50代女性
- 治療期間
- 8ヶ月
- 治療回数
- 10-30回
- 治療計画
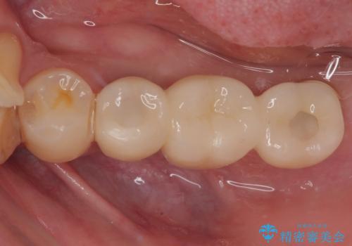
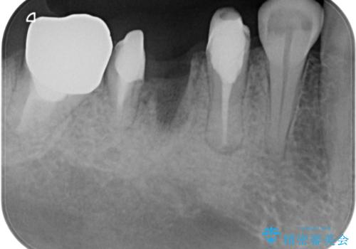
- むし歯を放置したままで、インプラント治療を希望して来院された患者様です。
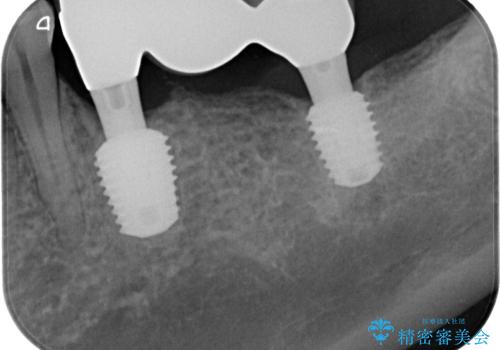
左右ともにインプラントが必要な状態でした。
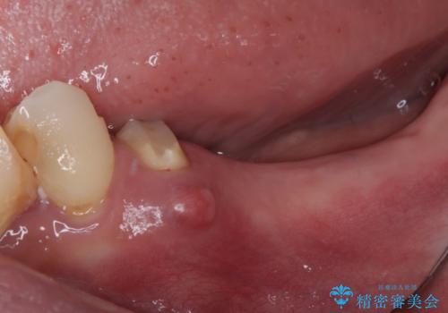
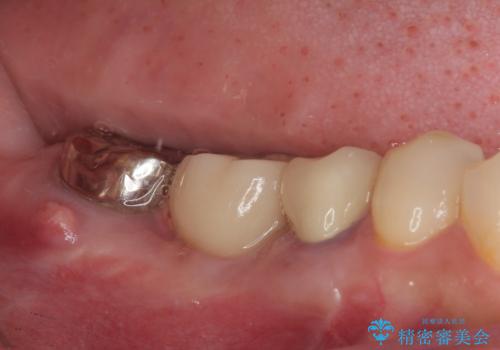
左下小臼歯は根管治療で対応する予定でしたが、診断のために歯肉を開いたところ頬側に垂直破折が認められたため、抜歯即時埋入インプラントによる補綴治療を選択することとしました。
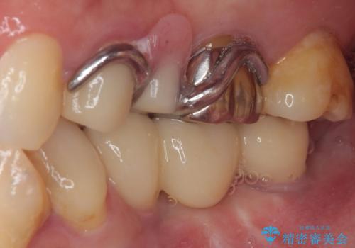
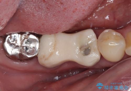
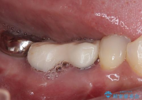
右下は大臼歯部の歯は抜歯即時埋入インプラントにて、手前の歯は保存して補綴治療を行うこととしました。
- 費用(概算)
- 治療費の目安: 165万円(税込)費用は治療当時の料金となります
治療について
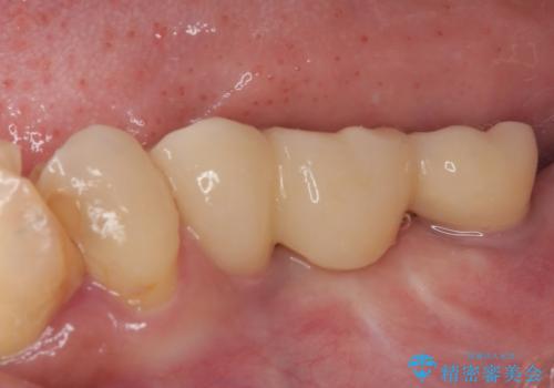
インプラント埋入時に十分な安定値を得ることができたため、速やかに仮歯を装着し、最小限の通院回数で治療を終えることができました。
インプラント治療の注意事項(リスク・副作用など)
- 外科手術のため、術後に痛みや腫れ、違和感を伴います
- メンテナンスを怠ったり喫煙により、お口の中に大きな悪影響を及ぼすインプラント周囲炎等にかかる可能性があります
- 糖尿病、肝硬変、心臓病等の場合、インプラント治療ができない可能性があります
- 高血圧、貧血・不整脈等の場合、インプラント治療後に治癒不全を招く可能性があります
- 自費診療(保険適用外治療)となります
セラミック治療の注意事項(リスク・副作用など)
- 天然歯を削ります
- 硬い素材は天然歯を傷つけてしまう場合があります
- かみ合わせや歯ぎしりが強すぎる方はセラミックが割れてしまう可能性があります
- 自費診療(保険適用外治療)となります
当サイトの内容、テキスト、画像等の無断転載、複製、複写、盗用を固く禁じます。



























