症例詳細
Case detail
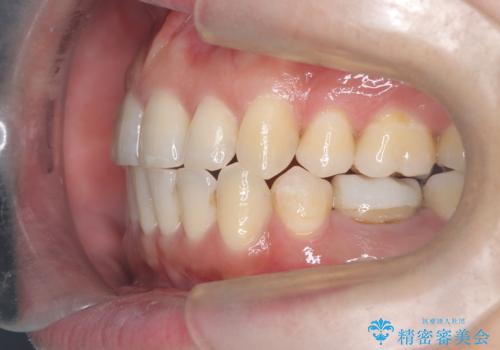
重度の叢生を抜歯矯正で改善|審美ワイヤー矯正+海外出張に伴う中断・再開対応
治療症例の内容
- 担当医
- 河口智英(ドクタープロフィール)
- 患者様
- 30代男性
- 治療期間
- 3年
- 治療回数
- 10-30回
- 治療計画
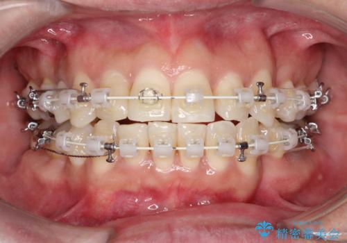
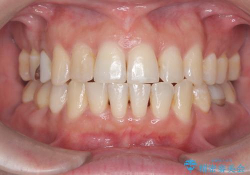
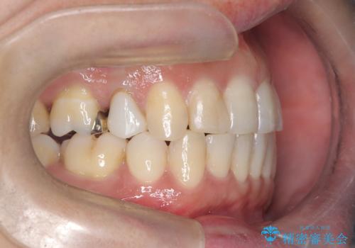
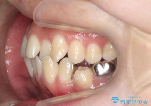
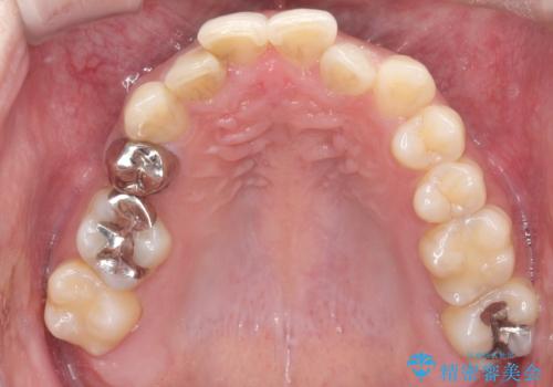
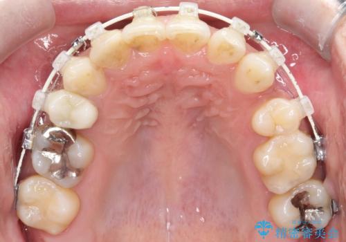
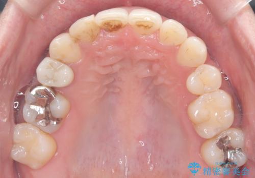
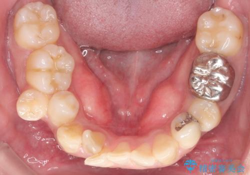
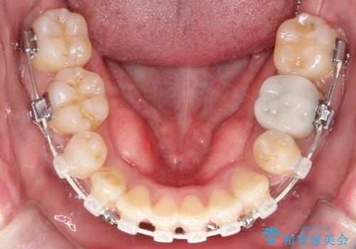
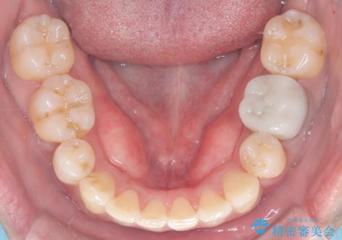
- 治療計画: 重度の叢生を改善するため、上下左右の小臼歯抜歯を伴う審美ワイヤー矯正を計画しました。抜歯により得られたスペースを利用して歯を整列させ、適切な噛み合わせを目指します。途中、患者様が1年間の海外出張となったため、一時的にワイヤーを外し、保定装置で現状維持を図りました。帰国後に再度審美ワイヤー矯正を再開し、仕上げ調整を行い治療完了を目指します。
- 費用(概算)
- 100万円費用は治療当時の料金となります
治療について
重度の叢生により、抜歯を伴う矯正が必要と判断しました。目立ちにくい透明な審美ブラケットを用いたワイヤー矯正を実施しましたが、治療途中での海外出張が決定したため、一度矯正装置を取り外し、保定装置で現状維持を行いました。帰国後に改めて装置を装着し矯正を再開。患者様のライフスタイルに柔軟に対応しながら、最終的には理想的な歯並びと美しい口元を実現しました。
ワイヤー矯正の注意事項(リスク・副作用など)
- 治療中は違和感や痛みが起こることがあります
- 症状により、抜歯が必要な場合があります
- 治療中は歯磨きがしにくくなるため、虫歯や歯周病になりやすくなります
- 矯正治療後の保定が不十分だと後戻り(元の位置に戻ろうとする動き)をします
- 自費診療(保険適用外)となります
当サイトの内容、テキスト、画像等の無断転載、複製、複写、盗用を固く禁じます。















