症例詳細
Case detail
奥歯を美しくセラミック修復
治療症例の内容
- 診療科目
- 治療カテゴリ
- 担当医
- 河口智英(ドクタープロフィール)
- 患者様
- 30代女性
- 治療期間
- 1ヶ月
- 治療回数
- 2-5回
- 治療計画
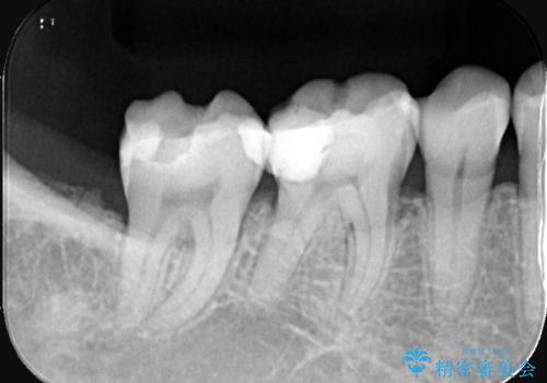
- 右下6番・7番の審美性と機能性を改善するため、セラミッククラウンでの治療を計画しました。1回目の来院時に古い被せ物や虫歯を丁寧に除去し、土台を整えた後に精密な型取りを行います。2回目の来院で仮のセラミッククラウンを装着して噛み合わせや適合性を確認し、最終調整を行います。3回目の来院時に完成したセラミッククラウンを装着し、最終調整を経て治療を完了します。
- 費用(概算)
- 24万円費用は治療当時の料金となります
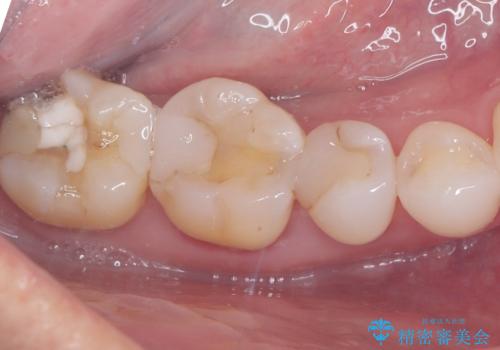
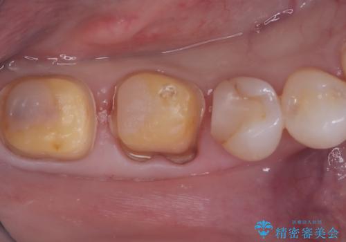
治療について
右下の奥歯にあった古い金属製のクラウンは、見た目の問題や歯ぐきの変色、さらには歯との境目に汚れが溜まりやすいなどの課題がありました。今回は審美的に優れ、生体親和性が高いセラミック素材を使用してクラウンを製作。色調は患者様の天然歯に合わせて調整を行い、自然で違和感のない仕上がりを目指しました。さらに精密な型取りと高度な技工技術を駆使することで、適合精度が非常に高いクラウンを提供しています。治療後は、見た目の美しさと噛み合わせの快適さが向上し、患者様には大変満足いただけました。
セラミック治療の注意事項(リスク・副作用など)
- 天然歯を削ります
- 硬い素材は天然歯を傷つけてしまう場合があります
- かみ合わせや歯ぎしりが強すぎる方はセラミックが割れてしまう可能性があります
- 自費診療(保険適用外治療)となります
当サイトの内容、テキスト、画像等の無断転載、複製、複写、盗用を固く禁じます。





