症例詳細
Case detail
セラミックで叶える集中審美治療
治療症例の内容
- 診療科目
- 担当医
- 河口智英(ドクタープロフィール)
- 患者様
- 30代女性
- 治療期間
- 1ヶ月
- 治療回数
- 2-5回
- 治療計画
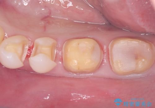
- 左下4番・5番をセラミックインレー、左下6番・7番をセラミッククラウンにより修復する集中治療を計画しました。初回に古い修復物や虫歯を除去し、精密な形成と型取りを行います。2回目に作製したセラミックインレーおよびクラウンの適合・色調を確認し、仮着を行って噛み合わせの微調整を実施します。最終3回目で調整後のセラミック修復物を完全に接着装着して治療を完了します。
- 費用(概算)
- 38万円費用は治療当時の料金となります
治療について
今回は左下奥歯の審美性と機能性を同時に回復するため、集中治療を実施しました。左下4・5番の比較的小さな虫歯は歯質保存の観点からセラミックインレーを、左下6・7番は強度確保と噛み合わせへの負担を考慮しセラミッククラウンを選択しました。セラミックは審美性だけでなく、生体親和性も高いため、歯ぐきへの負担も少なく安全に長期使用が可能です。来院回数を3回に集約することで、患者様の負担を軽減しつつ高品質な修復を実現しました。治療後は噛み合わせの改善はもちろん、口元全体の印象が自然で美しい仕上がりとなりました。
セラミック治療の注意事項(リスク・副作用など)
- 天然歯を削ります
- 硬い素材は天然歯を傷つけてしまう場合があります
- かみ合わせや歯ぎしりが強すぎる方はセラミックが割れてしまう可能性があります
- 自費診療(保険適用外治療)となります
当サイトの内容、テキスト、画像等の無断転載、複製、複写、盗用を固く禁じます。





