症例詳細
Case detail
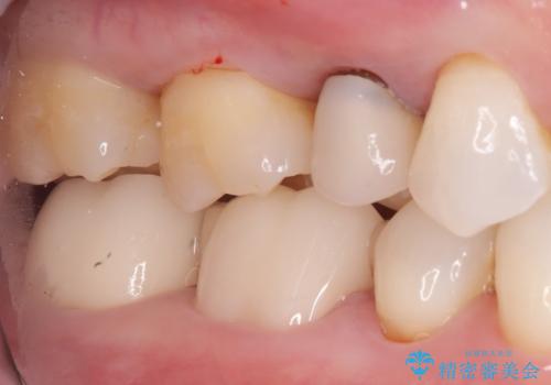
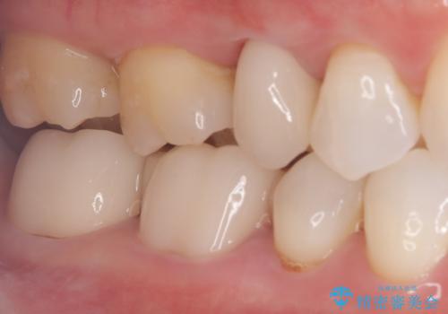
被せ物の黒ずみを美しく改善
治療症例の内容
- 診療科目
- 治療カテゴリ
- 担当医
- 河口智英(ドクタープロフィール)
- 患者様
- 30代女性
- 治療期間
- 治療回数
- 2-5回
- 治療計画
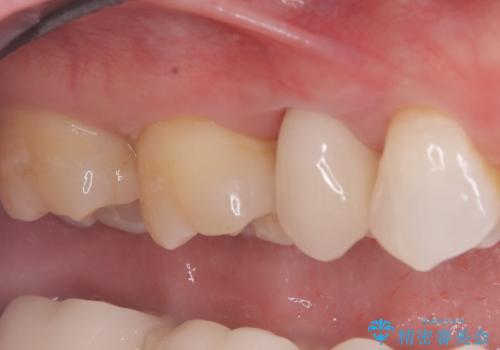
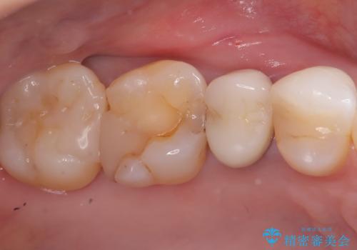
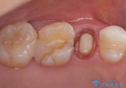
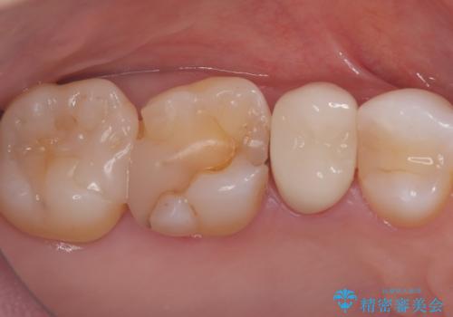
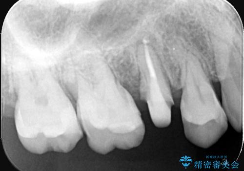
- 右上5番の被せ物と歯ぐきの境目に黒いラインがあり、審美性を改善するためオールセラミッククラウンで再治療を計画しました。まず既存の被せ物を除去し、内部の状態を確認して虫歯や破折などの問題がないことを確認した上で精密な型取りを行います。その後、歯科技工士と連携して、自然で透明感のあるオールセラミッククラウンを作製して装着します。
- 費用(概算)
- 12万円費用は治療当時の料金となります
治療について
以前の被せ物は金属製のため、歯ぐきが下がることで境目が黒く目立っていました。今回の治療では金属を使わないオールセラミッククラウンを選択しました。セラミックは天然歯のような透明感と自然な色調を再現できるため、審美性に優れています。また、金属アレルギーの心配もなく、生体親和性が高いことも特徴です。治療では、歯の削合を最小限に抑え、患者様の噛み合わせや隣接歯との調和を考慮しながら、歯科技工士と協力して色味や形状を調整しました。その結果、境目の黒ずみが解消され、自然で美しい口元を取り戻すことができました。
セラミック治療の注意事項(リスク・副作用など)
- 天然歯を削ります
- 硬い素材は天然歯を傷つけてしまう場合があります
- かみ合わせや歯ぎしりが強すぎる方はセラミックが割れてしまう可能性があります
- 自費診療(保険適用外治療)となります
当サイトの内容、テキスト、画像等の無断転載、複製、複写、盗用を固く禁じます。









