症例詳細
Case detail
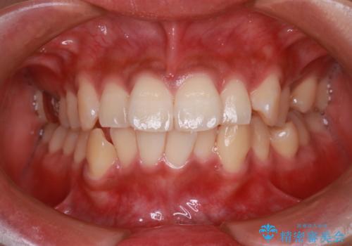
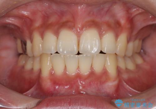
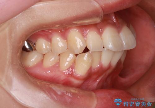
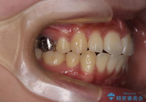
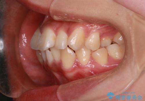
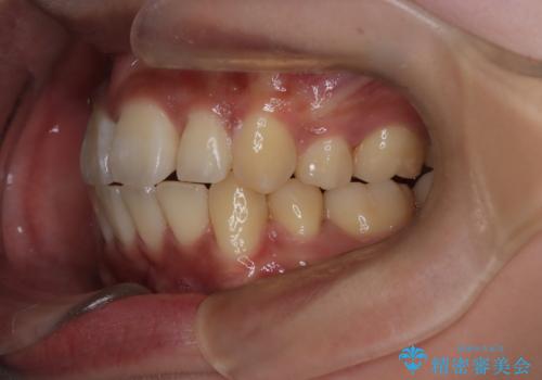
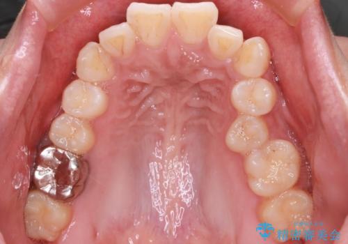
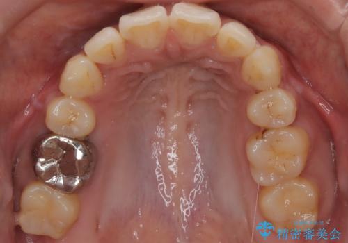
前歯の前突と口元の突出感を改善|上下左右4番抜歯+審美ワイヤー矯正
治療症例の内容
- 担当医
- 河口智英(ドクタープロフィール)
- 患者様
- 30代女性
- 治療期間
- 2年5ヶ月
- 治療回数
- 10-30回
- 治療計画
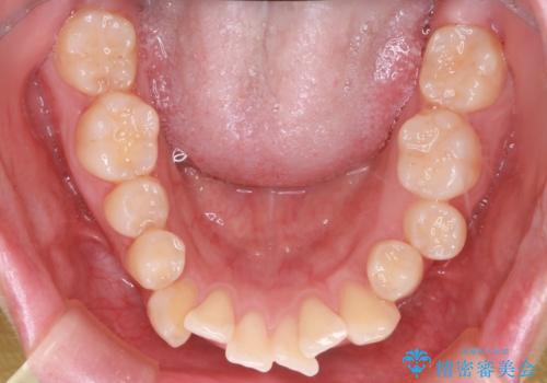
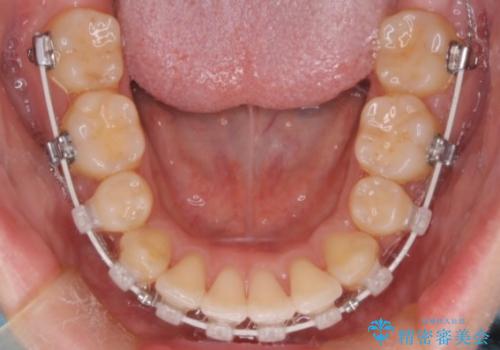
- 前歯の突出が強く、口元が前に出ている印象を改善するため、上下左右の第一小臼歯(4番)を抜歯する矯正治療を計画しました。抜歯により得られたスペースを利用して、前歯を後方へと移動させて整列します。治療には目立ちにくい透明な審美ブラケットとワイヤーを使用し、毎月1回の調整を行いながら徐々に歯を動かし、約2年で口元全体を整える計画としました。
- 費用(概算)
- 100万円費用は治療当時の料金となります
治療について
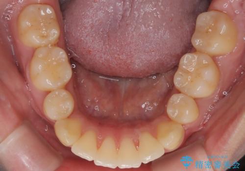
前歯が前に出ているため口元が突出し、唇が閉じにくいなどの悩みを抱えておられました。治療にあたり上下左右の第一小臼歯を抜歯し、十分なスペースを作ることで前歯を効果的に後方へ移動させました。装置には透明で目立ちにくい審美ブラケットを採用し、治療中の審美的ストレスを軽減しました。定期的な調整を通じて無理なく確実に歯列を整え、前歯の突出感を解消。治療後は口元の印象が自然で美しく改善され、患者様には非常にご満足いただけました。
ワイヤー矯正の注意事項(リスク・副作用など)
- 治療中は違和感や痛みが起こることがあります
- 症状により、抜歯が必要な場合があります
- 治療中は歯磨きがしにくくなるため、虫歯や歯周病になりやすくなります
- 矯正治療後の保定が不十分だと後戻り(元の位置に戻ろうとする動き)をします
- 自費診療(保険適用外)となります
当サイトの内容、テキスト、画像等の無断転載、複製、複写、盗用を固く禁じます。















