症例詳細
Case detail
抜歯を伴う審美ワイヤー矯正
治療症例の内容
- 担当医
- 河口智英(ドクタープロフィール)
- 患者様
- 30代女性
- 治療期間
- 2年2ヶ月
- 治療回数
- 10-30回
- 治療計画
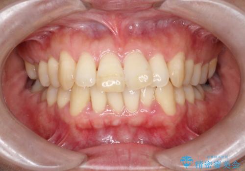
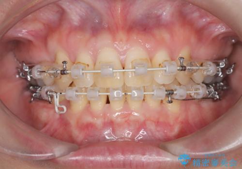
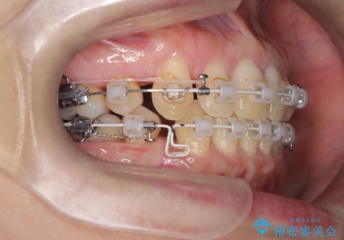
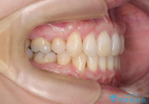
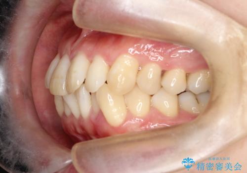
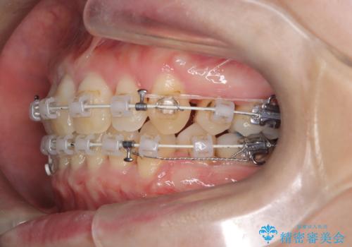
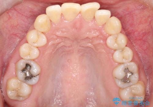
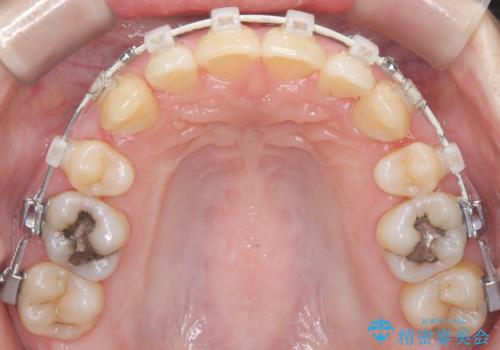
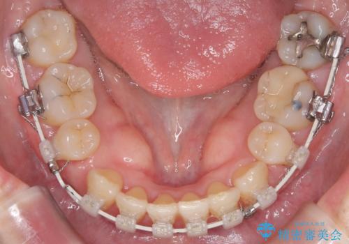
- 前歯の凸凹と前突感を改善するため、上下左右の4番を抜歯し、空いたスペースを利用して前歯を後方へ下げる審美ワイヤー矯正を計画しました。抜歯後は透明で目立ちにくい審美ブラケットを装着し、ワイヤーを用いて徐々に歯列を整えます。毎月1回の調整を通じて歯並びの変化を確認しながら、丁寧に矯正を進め、約2年で理想的な歯列と噛み合わせを完成させることを目指します。
- 費用(概算)
- 100万円費用は治療当時の料金となります
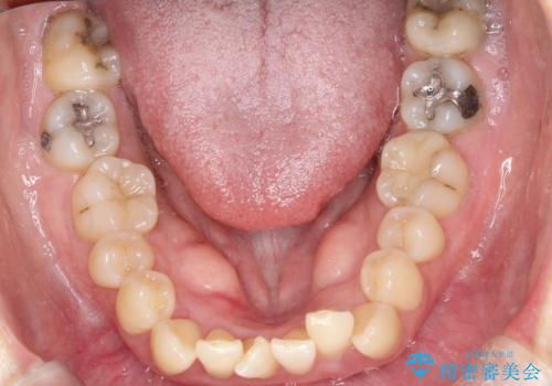
治療について
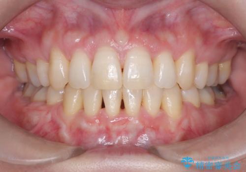
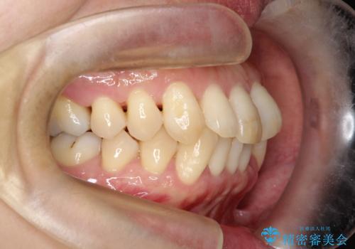
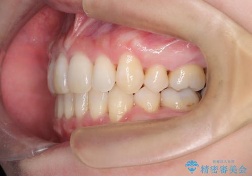
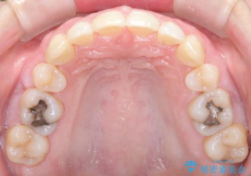
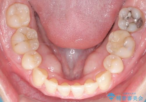
前歯が前に出ていることや歯並びの凸凹が気になるという主訴でした。十分なスペースを確保するため上下左右の第一小臼歯(4番)を抜歯し、そこに前歯を移動させて整列を行いました。矯正装置には目立ちにくい透明なブラケットを選択し、見た目のストレスを軽減。矯正期間中は定期的な通院でワイヤーを微調整し、無理なく確実に歯を動かしました。治療後は前歯が自然な位置に下がり、口元の突出感が解消されるとともに、美しく整った口元に仕上がり、患者様にも大変喜んでいただけました。
ワイヤー矯正の注意事項(リスク・副作用など)
- 治療中は違和感や痛みが起こることがあります
- 症状により、抜歯が必要な場合があります
- 治療中は歯磨きがしにくくなるため、虫歯や歯周病になりやすくなります
- 矯正治療後の保定が不十分だと後戻り(元の位置に戻ろうとする動き)をします
- 自費診療(保険適用外)となります
当サイトの内容、テキスト、画像等の無断転載、複製、複写、盗用を固く禁じます。















