症例詳細
Case detail
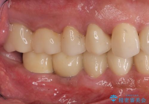
多数の銀歯と虫歯、セラミック・インプラント治療
治療症例の内容
- 担当医
- 大元洋佑(ドクタープロフィール)
- 患者様
- 50代男性
- 治療期間
- 8ヶ月
- 治療回数
- 10-30回
- 治療計画
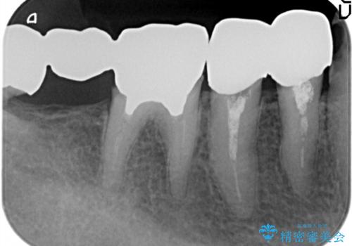
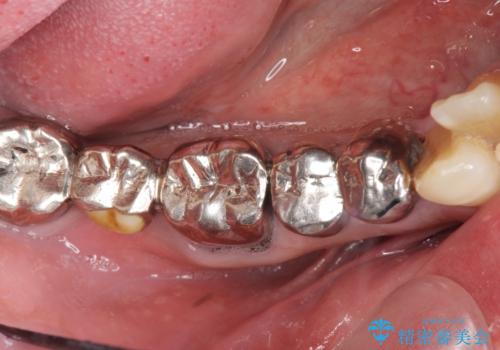
- 銀歯だらけの口腔内を全てきっちり治療したい、と希望され来院されました。
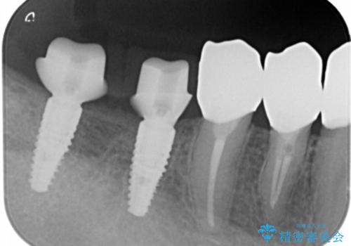
検査の結果、残すことの難しい歯をインプラントに置き換え、残すことのできる歯は虫歯の徹底的な除去後にセラミック治療を行っていくこととしました。
- 費用(概算)
- 125万円(インプラント×2・チタンカスタムアバットメント×2・ジルコニアクラウン×4・仮歯×4)費用は治療当時の料金となります
治療について
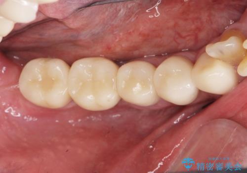
銀歯が口腔内からなくなり審美的になっただけでなく、歯ブラシのしやすさや噛み合わせの安定、口臭の減少など、良好な結果を得ることができました。
インプラント治療の注意事項(リスク・副作用など)
- 外科手術のため、術後に痛みや腫れ、違和感を伴います
- メンテナンスを怠ったり喫煙により、お口の中に大きな悪影響を及ぼすインプラント周囲炎等にかかる可能性があります
- 糖尿病、肝硬変、心臓病等の場合、インプラント治療ができない可能性があります
- 高血圧、貧血・不整脈等の場合、インプラント治療後に治癒不全を招く可能性があります
- 自費診療(保険適用外治療)となります
セラミック治療の注意事項(リスク・副作用など)
- 天然歯を削ります
- 硬い素材は天然歯を傷つけてしまう場合があります
- かみ合わせや歯ぎしりが強すぎる方はセラミックが割れてしまう可能性があります
- 自費診療(保険適用外治療)となります
当サイトの内容、テキスト、画像等の無断転載、複製、複写、盗用を固く禁じます。











