症例詳細
Case detail
被せものに穴が開いたのでやり替えたい オールセラミッククラウン
治療症例の内容
- 診療科目
- 治療カテゴリ
- 担当医
- 有澤哲郎(ドクタープロフィール)
- 患者様
- 60代女性
- 治療期間
- 1ヶ月
- 治療回数
- 2-5回
- 治療計画
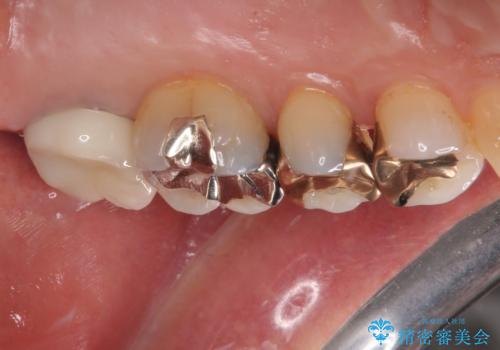
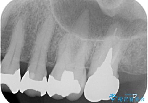
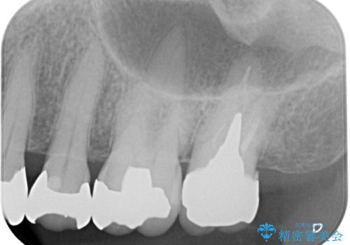
- 被せものに穴が開いたとのことで来院された患者様です。被せものをやり替えることになったので、かみ合わせが強い方のでPGAクラウンをご提案しましたが患者様の強いご希望によりオールセラミッククラウンによる補綴治療を行っていくことになりました。
拡大鏡視野下で、金属の被せもの、虫歯の除去を行い、オールセラミッククラウンに適した形に整えました。
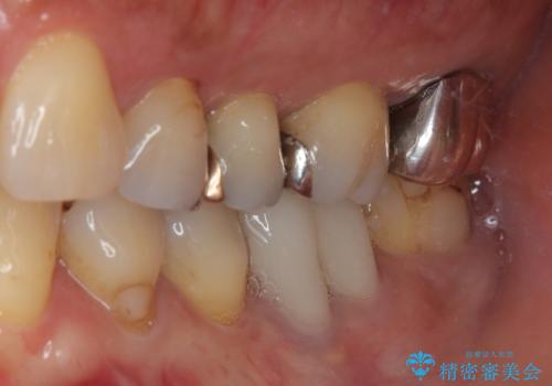
歯と歯茎の間に圧排糸と言われる糸を入れてシリコーン印象材にて型どりをしました。
患者様のご希望により、根管治療、土台のやり替えは行っていません。
- 費用(概算)
- 14万円(税込み)費用は治療当時の料金となります
治療について
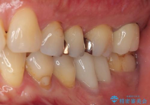
機能面、見た目共に満足していただきました。今後はメンテナンスで通っていただく予定です。
咬み合わせが強い方なので就寝時ナイトガードを使ってもらいます。
セラミック治療の注意事項(リスク・副作用など)
- 天然歯を削ります
- 硬い素材は天然歯を傷つけてしまう場合があります
- かみ合わせや歯ぎしりが強すぎる方はセラミックが割れてしまう可能性があります
- 自費診療(保険適用外治療)となります
その他の注意事項(リスク・副作用など)
- 担当歯科医師、歯科衛生士又は医院スタッフから受けた説明・注意事項をよくご確認ください
- 医療を提供するに当たり、適切な説明を行い、患者様の十分な理解を得るよう努めております
当サイトの内容、テキスト、画像等の無断転載、複製、複写、盗用を固く禁じます。









