症例詳細
Case detail
【モニター】インビザライン 前歯の捻れを治したい
治療症例の内容
- 担当医
- 菊地俊介(ドクタープロフィール)
- 患者様
- 30代男性
- 矯正装置
- インビザライン
- 治療期間
- 1年6ヶ月
- 治療回数
- 10-30回
- 治療計画
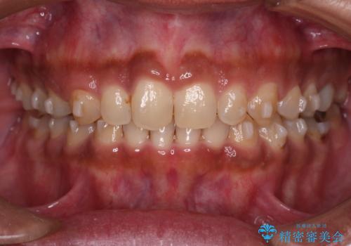
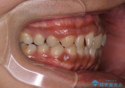
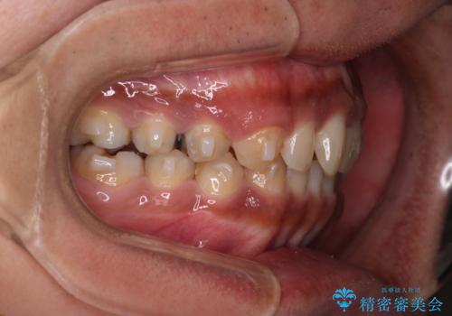
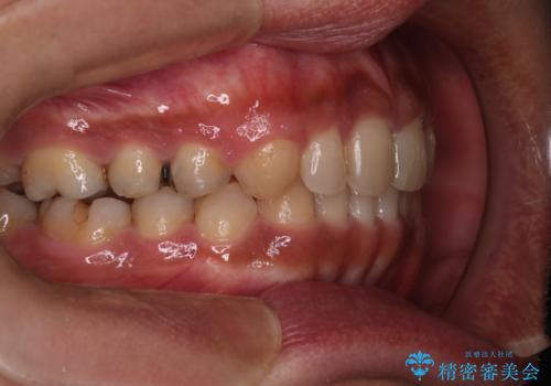
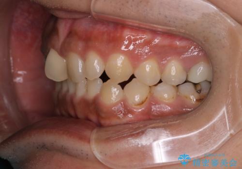
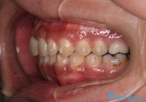
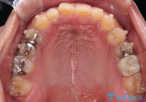
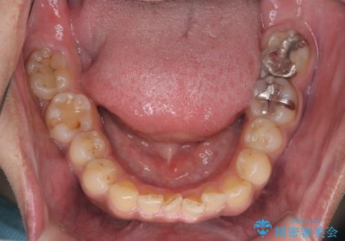
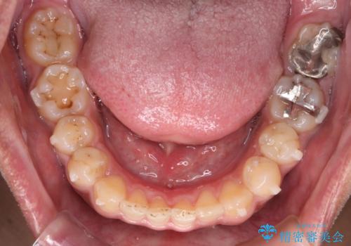
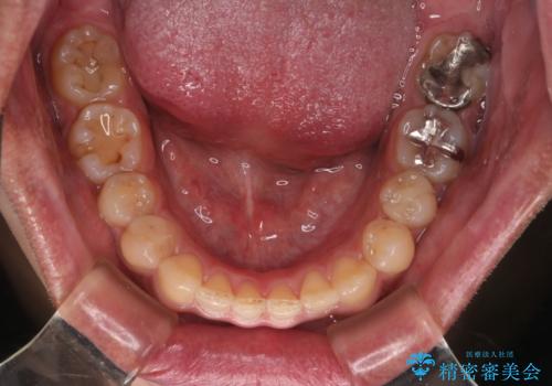
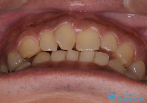
- 上下の前歯のがたつきを主訴に来院されました。インビザラインで治療可能と判断致しましたので、IPR(歯と歯の間を削る処置)と歯列弓拡大をして
がたつきをとる治療計画を立てました。
- 費用(概算)
- 82.5万円(税込) 費用は治療当時の料金となります
※顔写真掲載にあたり、患者様の了解を得ております
治療について
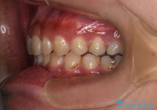
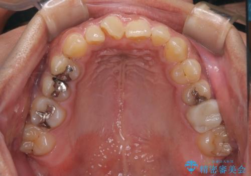
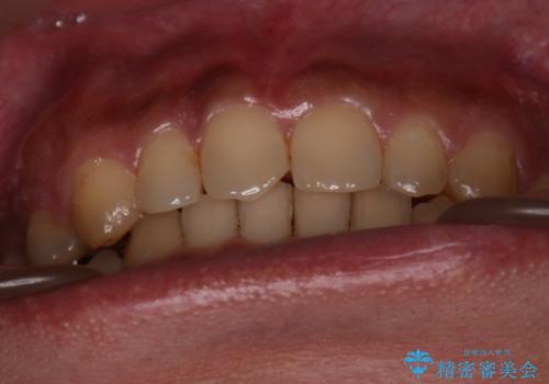
マウスピースをしっかり使用していただいたことで、主訴である前歯のがたつきも改善され
リファイメントも1回のみで治療を終了することが出来ました。
マウスピース矯正の注意事項(リスク・副作用など)
- 口腔内・歯並びの状態によっては対応できない場合があります
- マウスピース型矯正装置の長時間装着(1日20時間以上)が必須です
- 治療計画通りに進めるためには、患者様の意志が重要になります
- 矯正治療後の保定が不十分だと後戻り(元の位置に戻ろうとする動き)をします
- 薬機法対象外の矯正歯科装置のため医薬品副作用被害救済制度の対象外となる場合があります
- 自費診療(保険適用外)となります
当サイトの内容、テキスト、画像等の無断転載、複製、複写、盗用を固く禁じます。



















