症例詳細
Case detail
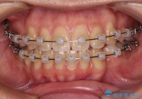
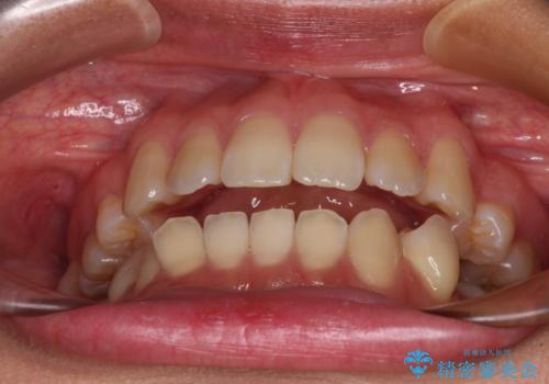
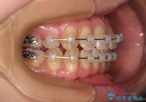
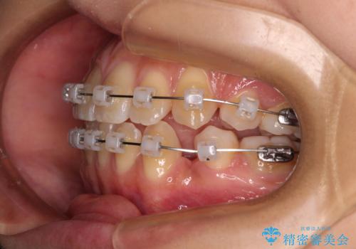
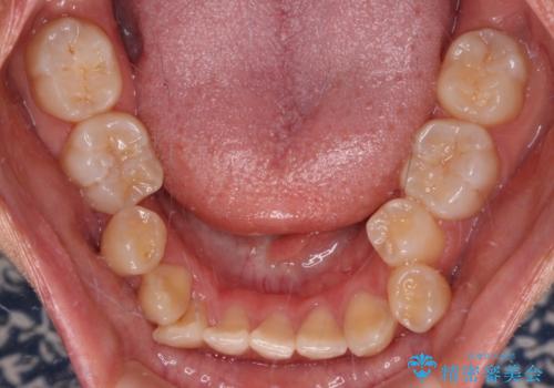
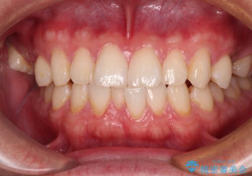
非接触の前歯と下顎のデコボコ ワイヤー装置による矯正治療
治療症例の内容
- 診療科目
- 担当医
- 齋藤佑磨(ドクタープロフィール)
- 患者様
- 20代女性
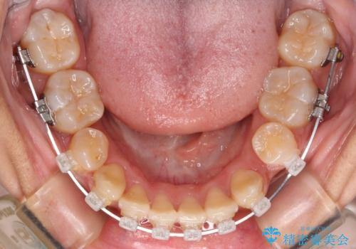
- 矯正装置
- クリアブラケット
- 治療期間
- 2年6ヶ月
- 治療回数
- 10-30回
- 治療計画
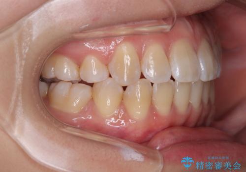
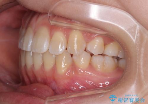
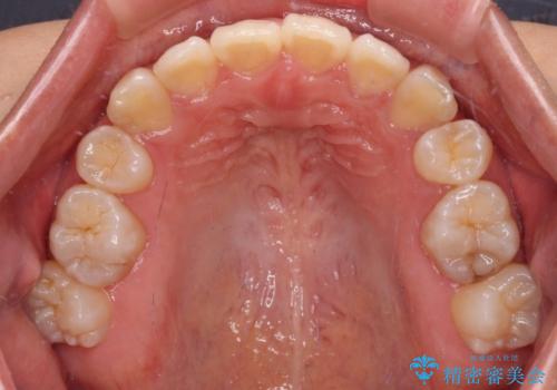
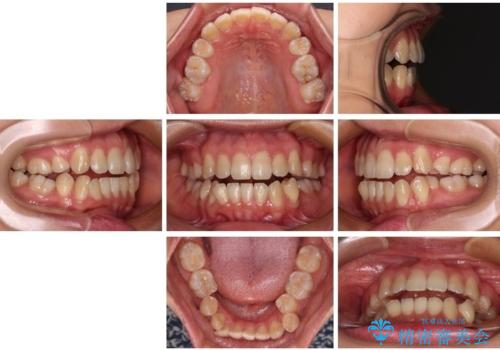
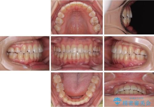
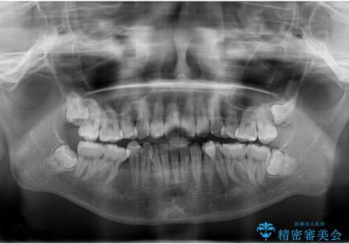
- 上下顎前歯部の非接触(開咬)と下顎のデコボコを主訴に来院された患者様です。
右側上下と左上の小臼歯が一本ずつ少なく、さらに骨格的な左右差もあり上下の真ん中の位置がずれています。
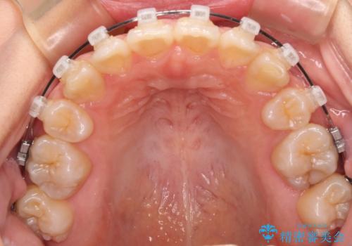
下顎のデコボコの解消と、真ん中の位置を改善するために左下の小臼歯を抜歯することとしました。
また、開咬を改善するため臼歯部にアンカースクリューを用いて圧下する力をかけていきました。
舌を突出する癖があり、それにより開咬が悪化したり、後戻りの原因になるため、舌のトレーニング(MFT)も行いました。
- 費用(概算)
- 99万円(税込)費用は治療当時の料金となります
治療について
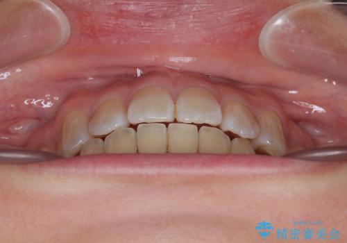
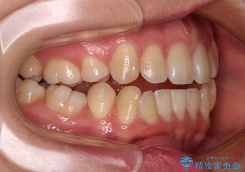
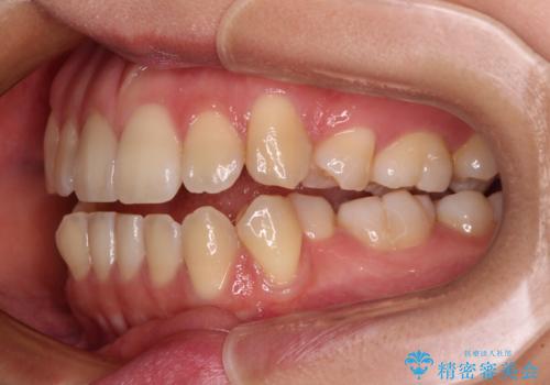
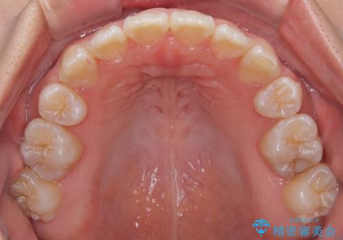
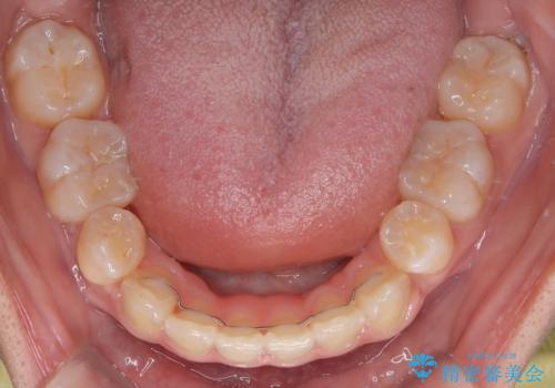
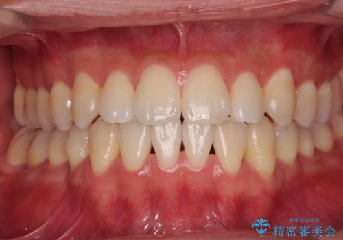
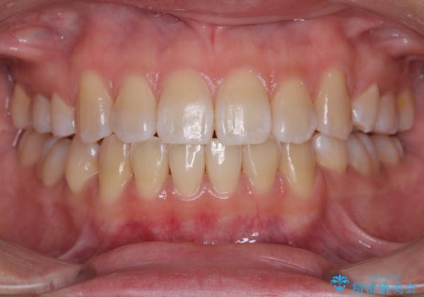
舌のトレーニングは継続して行ってもらっているため、開咬や抜歯したスペースの後戻りはなく、経過は良好です。
ワイヤー矯正の注意事項(リスク・副作用など)
- 治療中は違和感や痛みが起こることがあります
- 症状により、抜歯が必要な場合があります
- 治療中は歯磨きがしにくくなるため、虫歯や歯周病になりやすくなります
- 矯正治療後の保定が不十分だと後戻り(元の位置に戻ろうとする動き)をします
- 自費診療(保険適用外)となります
当サイトの内容、テキスト、画像等の無断転載、複製、複写、盗用を固く禁じます。


























