症例詳細
Case detail
横顔の印象を変えたい ワイヤー装置での抜歯矯正
治療症例の内容
- 診療科目
- 担当医
- 藤巻太一朗(ドクタープロフィール)
- 患者様
- 20代女性
- 矯正装置
- 審美装置
- 治療期間
- 2年6ヶ月
- 治療回数
- 10-30回
- 治療計画
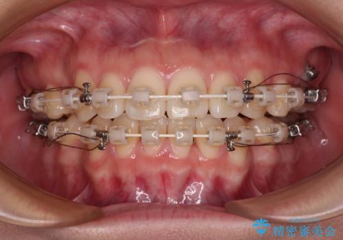
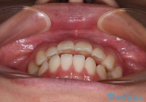
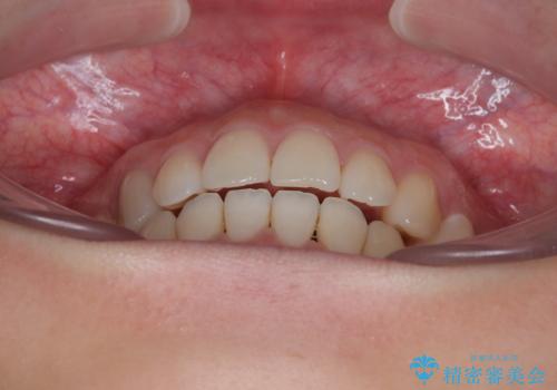
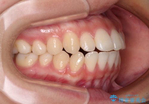
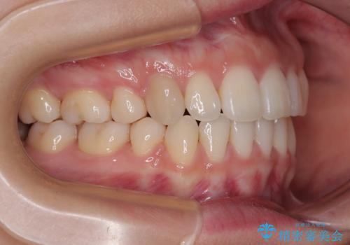
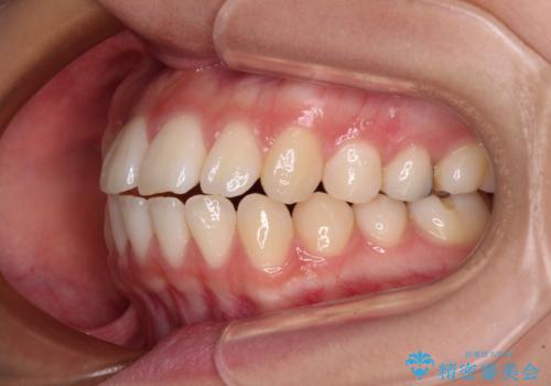
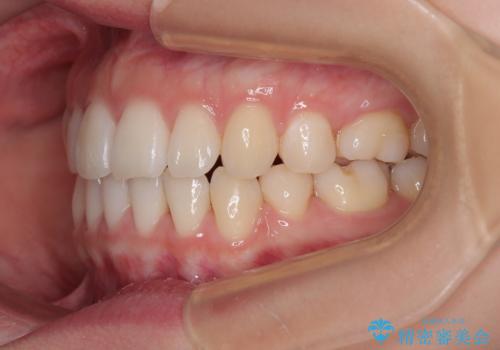
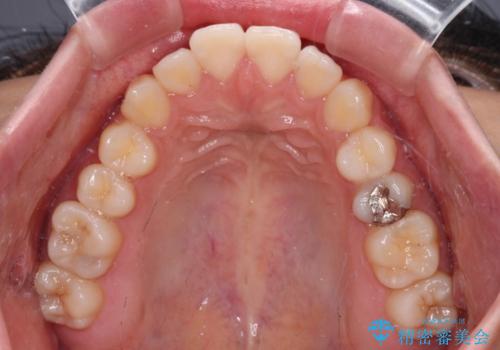
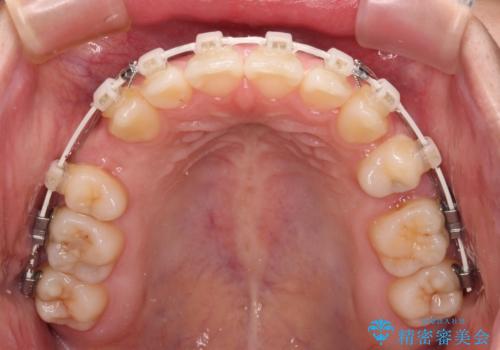
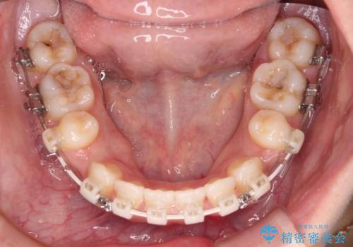
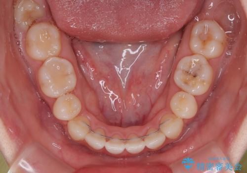
- 口元の突出感と上下前歯のズレを気にして来院された患者様です。
舌の突出癖により上下の前歯は非接触となっている状態でした。
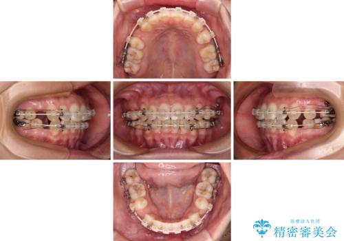
舌のトレーニングを行わないと上下前歯の接触達成は困難であるため、トレーニングをしっかりと行っていただきながら、治療を進めて行くこととしました。
突出感改善のため、上下左右の第一小臼歯4本を抜歯し、ワイヤー装置にて矯正治療を行うこととしました。
- 費用(概算)
- 治療費の目安: 105万円(税込)費用は治療当時の料金となります
治療について
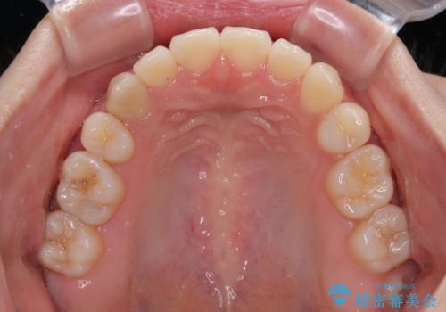
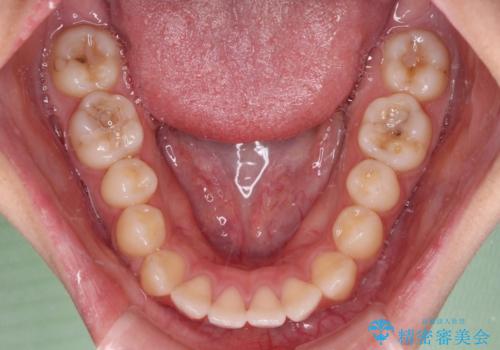
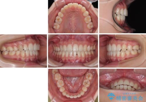
舌のトレーニングをしっかりと行ってくださり、予定通りの期間で理想的な仕上がりを達成することができました。
ワイヤー矯正の注意事項(リスク・副作用など)
- 治療中は違和感や痛みが起こることがあります
- 症状により、抜歯が必要な場合があります
- 治療中は歯磨きがしにくくなるため、虫歯や歯周病になりやすくなります
- 矯正治療後の保定が不十分だと後戻り(元の位置に戻ろうとする動き)をします
- 自費診療(保険適用外)となります
当サイトの内容、テキスト、画像等の無断転載、複製、複写、盗用を固く禁じます。


























