症例詳細
Case detail
前歯の見た目を良くしたい オールセラミッククラウン
治療症例の内容
- 診療科目
- 治療カテゴリ
- 担当医
- 有澤哲郎(ドクタープロフィール)
- 患者様
- 30代男性
- 治療期間
- 1ヶ月
- 治療回数
- 2-5回
- 治療計画
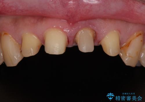
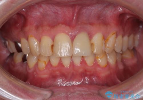
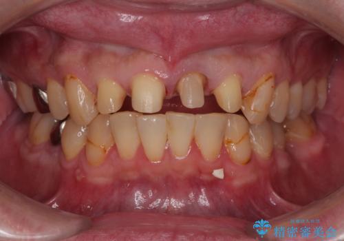
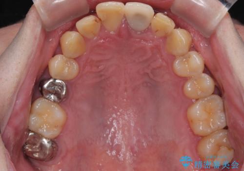
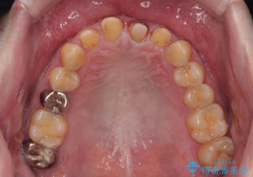
- 前歯の見た目を良くしたいとのことで来院された患者様です。今までに保険のプラスチック(コンポジットレジン)で虫歯の治療をしており経年的な劣化により着色が目立つようになっていました。また歯と歯の隣り合っているところに段差もあり虫歯になっていたり、詰め物も外れていたため前歯4本のオールセラミッククラウンによる治療を行うこととなりました。
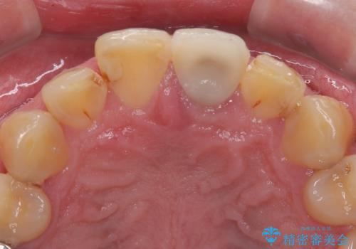
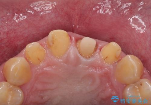
拡大鏡視野下で保険のプラスチック(コンポジットレジン)、虫歯、左上1の被せものを除去し、オールセラミッククラウンに適した形にしました。
歯と歯茎の間に圧排糸と言われる糸を入れてシリコーン印象材にて型どりをしました。
- 費用(概算)
- 55万円(税込み)費用は治療当時の料金となります
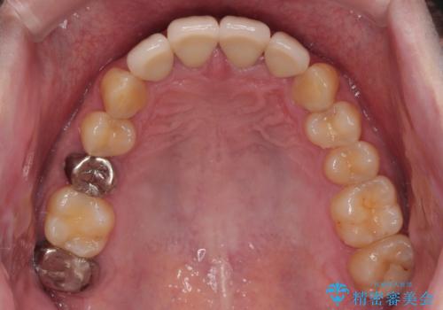
治療について
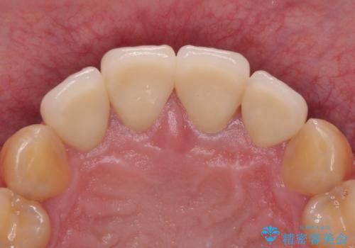
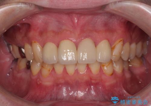
審美面、機能面共に大変満足していただきました。今後は左下の欠損部にインプラント治療を行っていく予定です。
セラミック治療の注意事項(リスク・副作用など)
- 天然歯を削ります
- 硬い素材は天然歯を傷つけてしまう場合があります
- かみ合わせや歯ぎしりが強すぎる方はセラミックが割れてしまう可能性があります
- 自費診療(保険適用外治療)となります
その他の注意事項(リスク・副作用など)
- 担当歯科医師、歯科衛生士又は医院スタッフから受けた説明・注意事項をよくご確認ください
- 医療を提供するに当たり、適切な説明を行い、患者様の十分な理解を得るよう努めております
当サイトの内容、テキスト、画像等の無断転載、複製、複写、盗用を固く禁じます。














