症例詳細
Case detail
【インビザラインモニター】前歯のがたつき気になる
治療症例の内容
- 患者様
- 20代男性
- 矯正装置
- インビザライン
- 治療期間
- 1年
- 治療回数
- 5-10回
- 治療計画
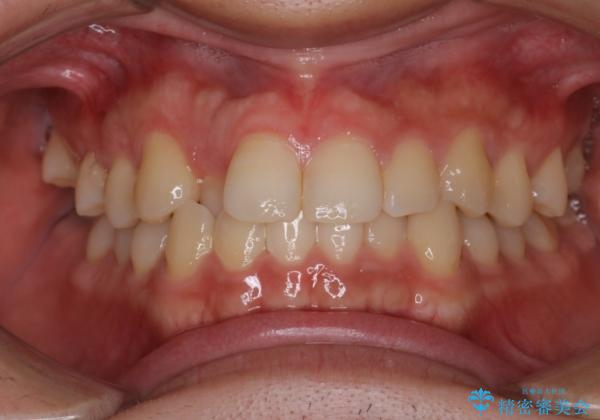
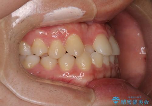
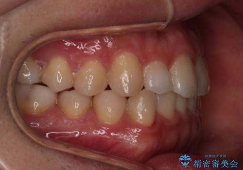
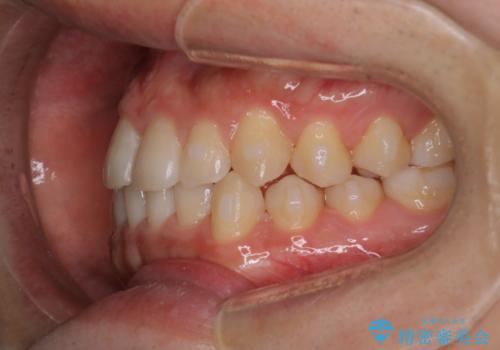
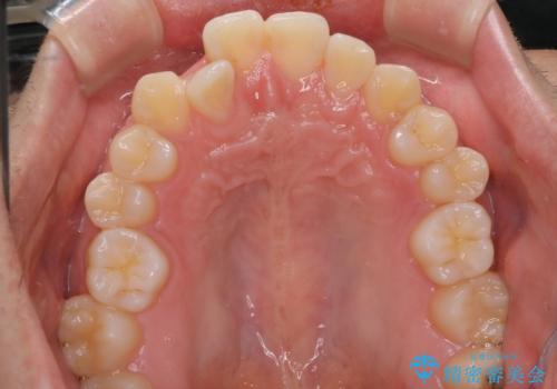
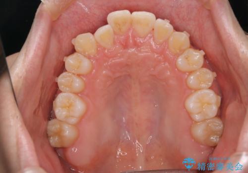
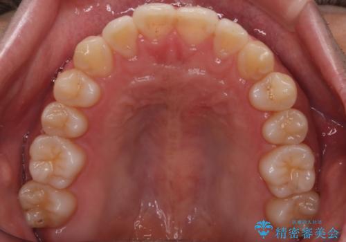
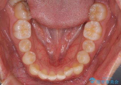
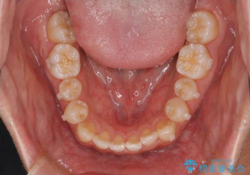
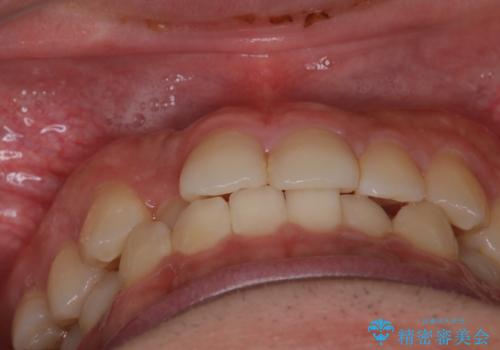
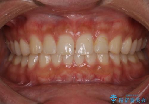
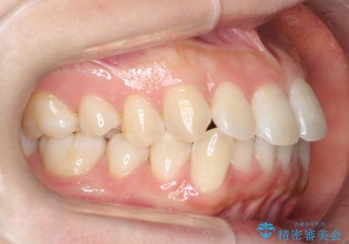
- 前歯のがたつきを主訴に来院されました。初診時、右上2番の口蓋側転位と右下7番の舌側傾斜が認められました。
 インビザラインにてIPRと歯列弓拡大を行い、ゴム掛けで噛み合わせを改善する治療計画を立てました。
- 費用(概算)
- 88万円(税込)費用は治療当時の料金となります
治療について
マウスピースの使用時間が短いため、シュミレーション通り進むか不安でしたが
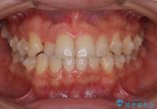
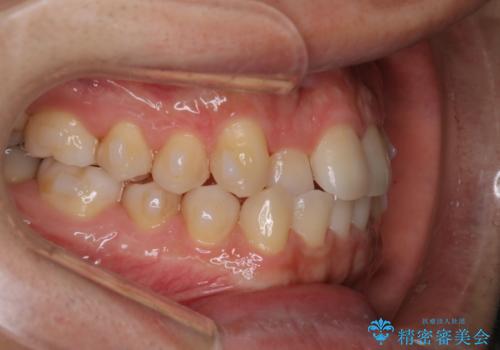
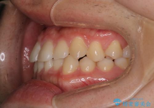
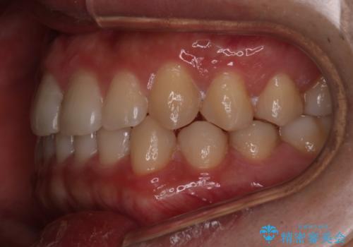
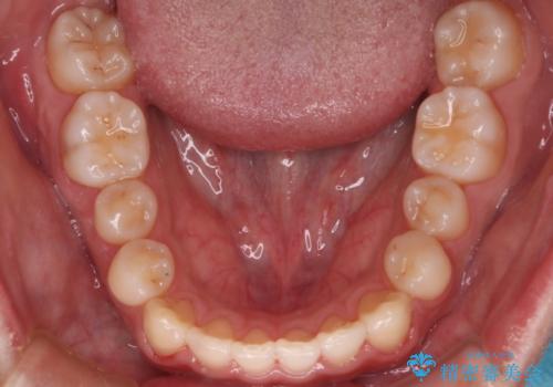
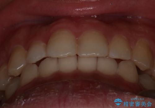
治療期間1年で、主訴である前歯のがたつきを改善出来、
奥歯の噛み合わせも良くなりました。
マウスピース矯正の注意事項(リスク・副作用など)
- 口腔内・歯並びの状態によっては対応できない場合があります
- マウスピース型矯正装置の長時間装着(1日20時間以上)が必須です
- 治療計画通りに進めるためには、患者様の意志が重要になります
- 矯正治療後の保定が不十分だと後戻り(元の位置に戻ろうとする動き)をします
- 薬機法対象外の矯正歯科装置のため医薬品副作用被害救済制度の対象外となる場合があります
- 自費診療(保険適用外)となります
当サイトの内容、テキスト、画像等の無断転載、複製、複写、盗用を固く禁じます。








 
                       
                                                          


















 
                   
                   
                  