症例詳細
Case detail
銀歯をゼロに! 短期間で行うメタルフリー治療
治療症例の内容
- 診療科目
- 担当医
- 大元洋佑(ドクタープロフィール)
- 患者様
- 30代女性
- 治療期間
- 1ヶ月
- 治療回数
- 2-5回
- 治療計画
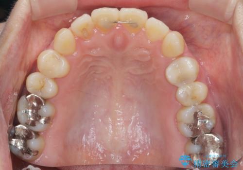
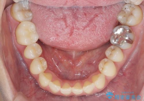
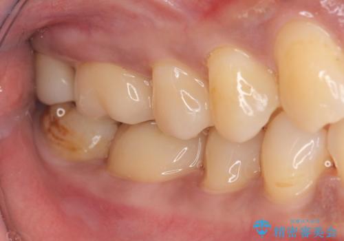
- 口の中に見える銀歯を、金属アレルギーの対策と審美性の向上のため全て除去したい!と希望され来院されました。
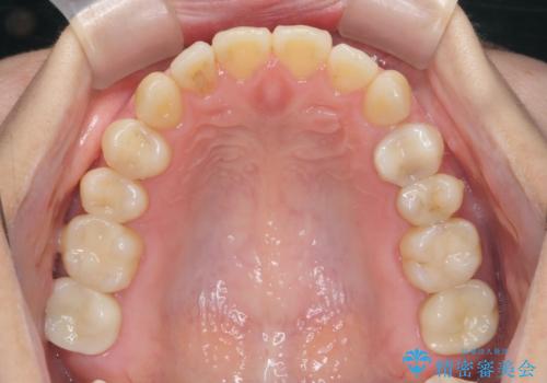
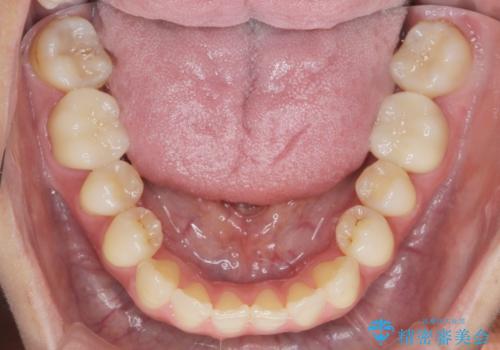
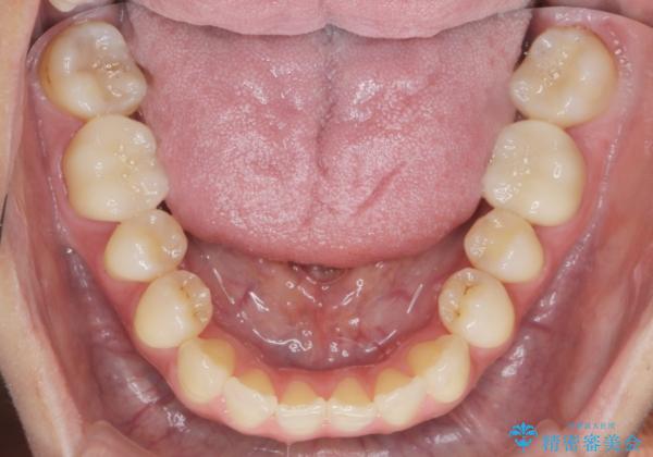
銀歯を丁寧に除去したのち、精度の良いセラミックインレー、セラミッククラウンで修復・補綴処置を行っていきます。
- 費用(概算)
- 62.7万円(ジルコニアクラウン×3・仮歯×3・セラミックインレー×3)費用は治療当時の料金となります
治療について
「長年気になっていた銀歯を全て除去し、気持ちが明るくなりました。」、と嬉しい感想をいただくことができました。
セラミック治療の注意事項(リスク・副作用など)
- 天然歯を削ります
- 硬い素材は天然歯を傷つけてしまう場合があります
- かみ合わせや歯ぎしりが強すぎる方はセラミックが割れてしまう可能性があります
- 自費診療(保険適用外治療)となります
当サイトの内容、テキスト、画像等の無断転載、複製、複写、盗用を固く禁じます。










