症例詳細
Case detail
詰め物が割れたのでやり替えたい オールセラミッククラウン
治療症例の内容
- 診療科目
- 治療カテゴリ
- 担当医
- 有澤哲郎(ドクタープロフィール)
- 患者様
- 40代男性
- 治療期間
- 1ヶ月
- 治療回数
- 2-5回
- 治療計画
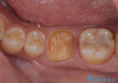
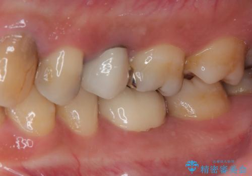
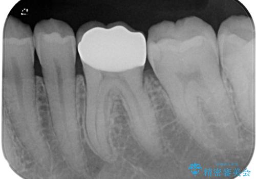
- 左下の詰め物が割れたとのことで来院された患者様です。現在に至るまで二度セラミックの詰め物(セラミックインレー)が割れているので強度面を考慮しセラミックの被せもの(セラミッククラウン)にて治療を行っていくことにしました。
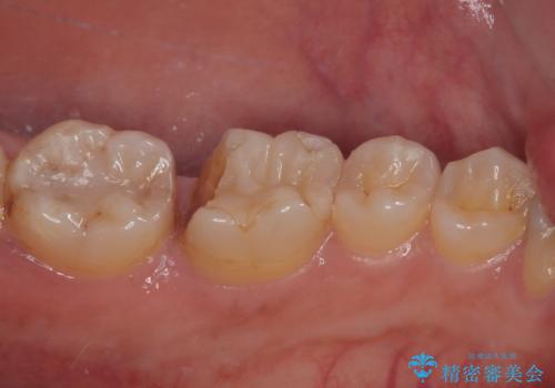
拡大鏡視野下でセラミックインレー、虫歯の除去を行い、オールセラミッククラウンに適した形に整えました。
型どりはシリコーンゴムを用いて精密印象を行っています。
- 費用(概算)
- 14万円(税込み)費用は治療当時の料金となります
治療について
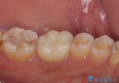
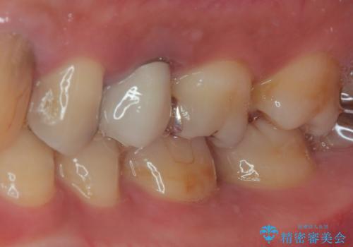
機能面、見た目共に満足していただきました。今後はメンテナンスで通っていただく予定です。
セラミック治療の注意事項(リスク・副作用など)
- 天然歯を削ります
- 硬い素材は天然歯を傷つけてしまう場合があります
- かみ合わせや歯ぎしりが強すぎる方はセラミックが割れてしまう可能性があります
- 自費診療(保険適用外治療)となります
その他の注意事項(リスク・副作用など)
- 担当歯科医師、歯科衛生士又は医院スタッフから受けた説明・注意事項をよくご確認ください
- 医療を提供するに当たり、適切な説明を行い、患者様の十分な理解を得るよう努めております
当サイトの内容、テキスト、画像等の無断転載、複製、複写、盗用を固く禁じます。









