症例詳細
Case detail
臼歯部の反対咬合を改善|MARPEによる上顎急速拡大+審美ワイヤー矯正
治療症例の内容
- 担当医
- 河口智英(ドクタープロフィール)
- 患者様
- 20代女性
- 治療期間
- 2年
- 治療回数
- 10-30回
- 治療計画
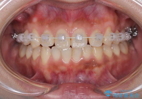
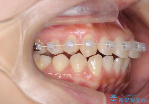
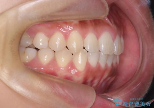
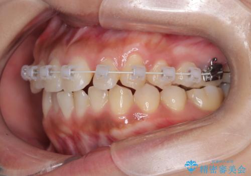
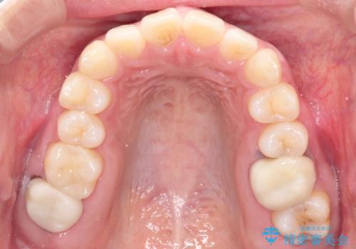
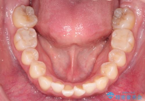
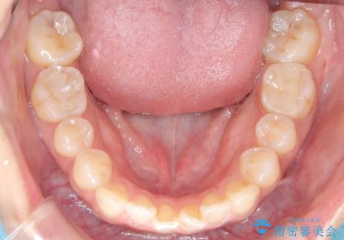
- 患者様は、奥歯(臼歯部)の反対咬合を主訴に来院されました。反対咬合は、噛み合わせのズレや顎の成長に影響を与える可能性があるため、早期の治療が重要です。診断の結果、上顎の幅が不足していることが原因と判明し、MARPE(骨固定式上顎急速拡大装置)を用いて上顎を広げる治療を計画しました。その後、歯列の調整のために審美ワイヤー矯正を行う方針としました。
- 費用(概算)
- 85万円費用は治療当時の料金となります
治療について
MARPEを使用して上顎を拡大し、適切な歯列のスペースを確保しました。この拡大によって、反対咬合が改善され、正常な噛み合わせへと誘導できました。その後、目立ちにくいブラケットと白いワイヤーを使用した審美ワイヤー矯正を行い、歯列を整えました。治療が進むにつれ、噛み合わせのバランスが良くなり、見た目も自然な仕上がりに。
患者様からも「しっかり噛めるようになり、見た目も気にならなくなった」と満足の声をいただきました。
ワイヤー矯正の注意事項(リスク・副作用など)
- 治療中は違和感や痛みが起こることがあります
- 症状により、抜歯が必要な場合があります
- 治療中は歯磨きがしにくくなるため、虫歯や歯周病になりやすくなります
- 矯正治療後の保定が不十分だと後戻り(元の位置に戻ろうとする動き)をします
- 自費診療(保険適用外)となります
当サイトの内容、テキスト、画像等の無断転載、複製、複写、盗用を固く禁じます。














