症例詳細
Case detail
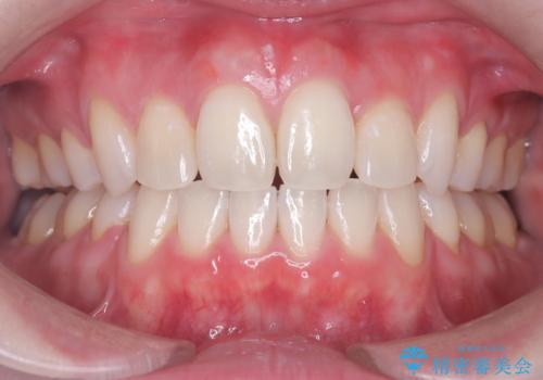
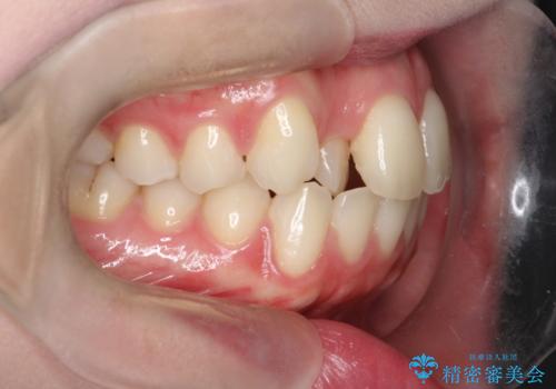
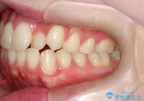
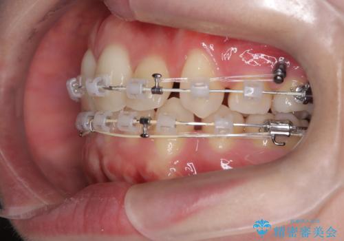
上下4本の抜歯と審美ワイヤー矯正で整った歯並びへ
治療症例の内容
- 担当医
- 河口智英(ドクタープロフィール)
- 患者様
- 20代女性
- 治療期間
- 2年
- 治療回数
- 10-30回
- 治療計画
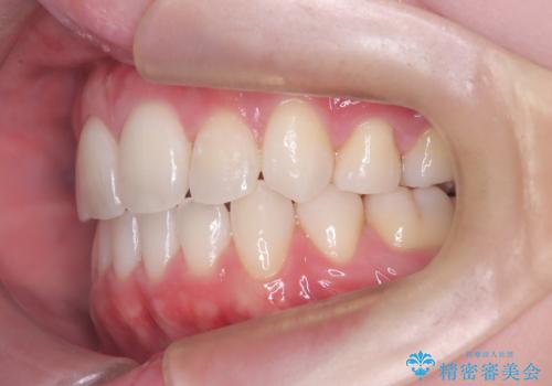
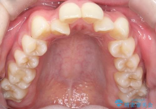
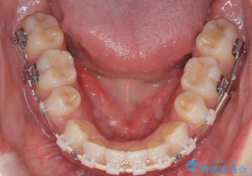
- 患者様は、歯並びの乱れを整えたいとのことで来院されました。診察の結果、歯列のスペース不足が原因で前歯のガタつきが目立ち、噛み合わせにも影響が出ている状態でした。歯を正しく並べるためにはスペースの確保が必要と判断し、上下の小臼歯4本を抜歯して、審美ワイヤー矯正(白いワイヤーと透明ブラケット)で治療を行う計画を立てました。
- 費用(概算)
- 100万円費用は治療当時の料金となります
治療について
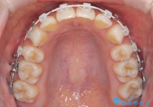
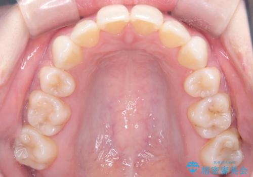
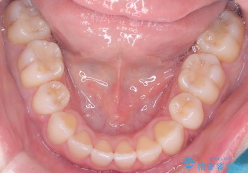
まず、抜歯によって歯を動かすためのスペースを確保。その後、審美ワイヤー矯正を用いて、前歯のガタつきを整えながら、噛み合わせの調整も行いました。審美装置を使用することで、矯正中も目立ちにくく、自然な仕上がりを目指して治療を進めました。治療の結果、歯並びがきれいに整い、口元のバランスも改善しました。患者様からは「歯並びがきれいになり、自信を持って笑えるようになった」と喜びの声をいただきました。
ワイヤー矯正の注意事項(リスク・副作用など)
- 治療中は違和感や痛みが起こることがあります
- 症状により、抜歯が必要な場合があります
- 治療中は歯磨きがしにくくなるため、虫歯や歯周病になりやすくなります
- 矯正治療後の保定が不十分だと後戻り(元の位置に戻ろうとする動き)をします
- 自費診療(保険適用外)となります
当サイトの内容、テキスト、画像等の無断転載、複製、複写、盗用を固く禁じます。















