症例詳細
Case detail
重度の歯並びの乱れを改善|上下4本抜歯と審美ワイヤー矯正で美しい歯列へ
治療症例の内容
- 診療科目
- 治療カテゴリ
- 担当医
- 河口智英(ドクタープロフィール)
- 患者様
- 20代女性
- 矯正装置
- 審美装置
- 治療期間
- 3年
- 治療回数
- 10-30回
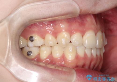
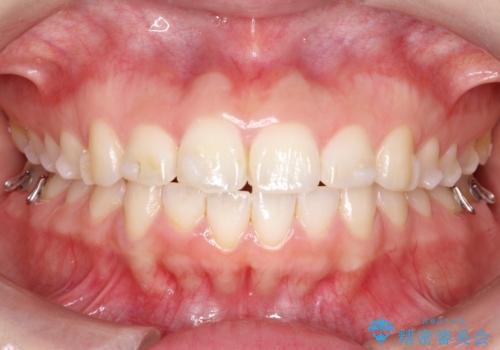
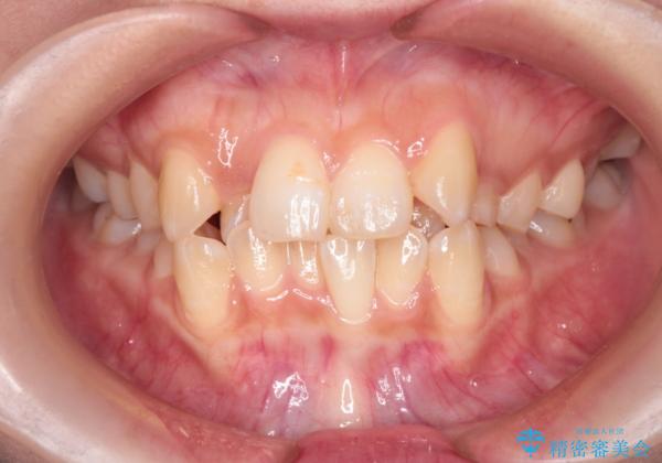
- 治療計画
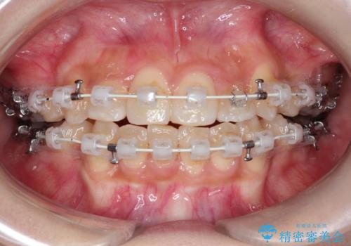
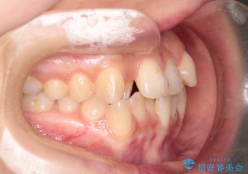
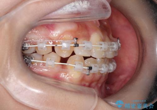
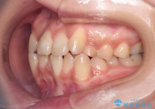
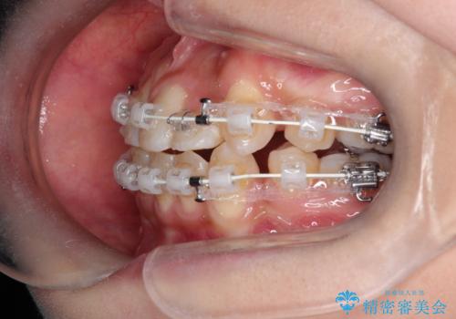
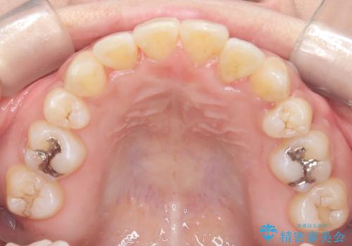
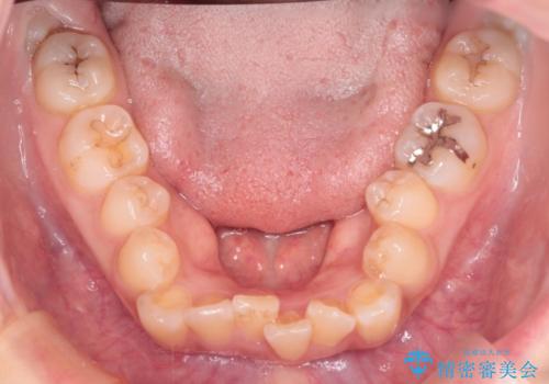
- 患者様は、歯並びのガタガタ(重度の叢生)を改善したいとのことで来院されました。診察すると、歯列のスペース不足が著しく、前歯が重なり合い、噛み合わせにも影響が出ている状態でした。歯をきれいに並べるためには抜歯によるスペース確保が不可欠と判断し、上下の小臼歯4本を抜歯したうえで、目立ちにくい審美ワイヤー矯正(白いワイヤーと透明ブラケット)を用いた治療計画を立てました。
- 費用(概算)
- 100万円費用は治療当時の料金となります
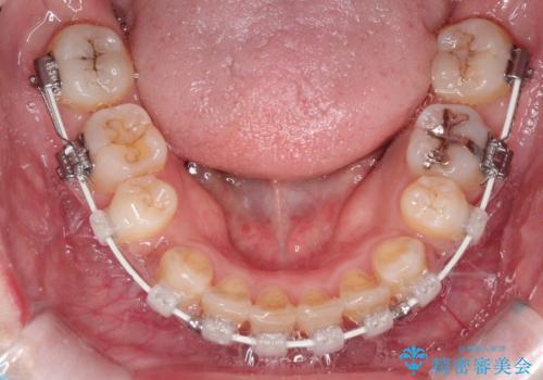
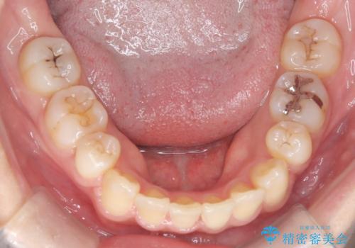
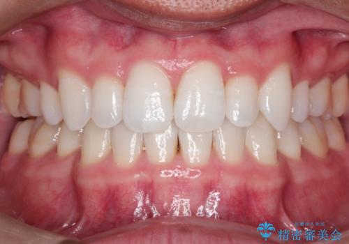
治療について
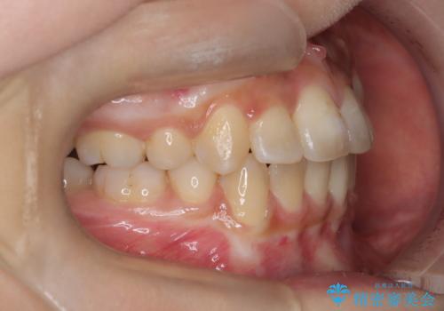
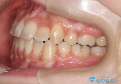
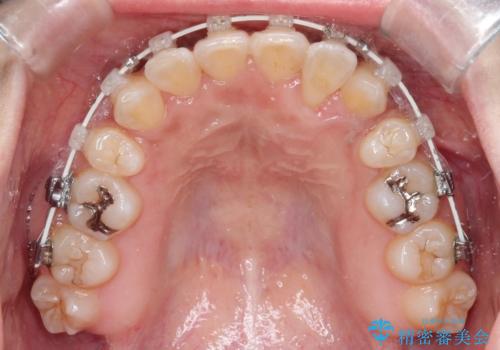
抜歯によって歯を動かすためのスペースを確保。その後、審美ワイヤー矯正を用いて歯を1本ずつ適切な位置に誘導しながら、噛み合わせのバランスも整えていきました。時間はかかりましたが、ガタガタの歯並びがきれいに整い、機能的にも審美的にも満足のいく仕上がりとなりました。患者様からは「歯並びが劇的に改善し、見た目だけでなく噛みやすさも向上した」と喜びの声をいただきました。
ワイヤー矯正の注意事項(リスク・副作用など)
- 治療中は違和感や痛みが起こることがあります
- 症状により、抜歯が必要な場合があります
- 治療中は歯磨きがしにくくなるため、虫歯や歯周病になりやすくなります
- 矯正治療後の保定が不十分だと後戻り(元の位置に戻ろうとする動き)をします
- 自費診療(保険適用外)となります
当サイトの内容、テキスト、画像等の無断転載、複製、複写、盗用を固く禁じます。















