症例詳細
Case detail
八重歯が気になる。補助装置を併用したワイヤー矯正
治療症例の内容
- 担当医
- 齋藤佑磨(ドクタープロフィール)
- 患者様
- 20代女性
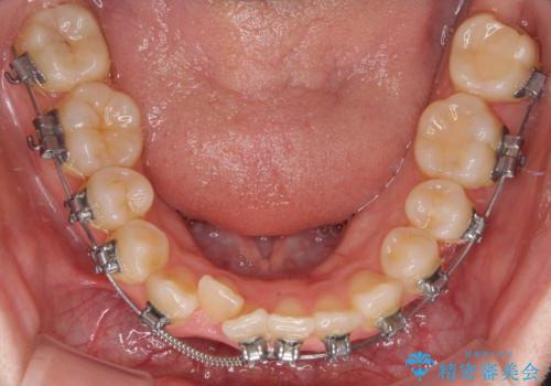
- 矯正装置
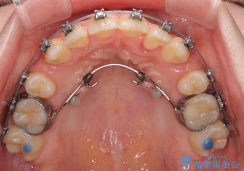
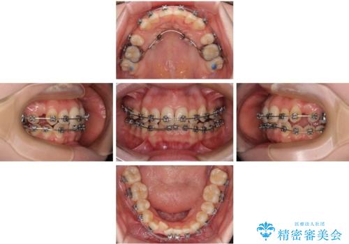
- メタルブラケット
- 治療期間
- 2年
- 治療回数
- 10-30回
- 治療計画
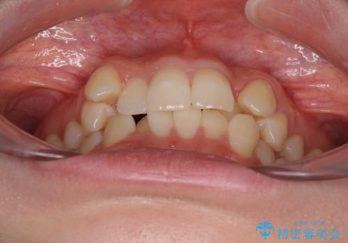
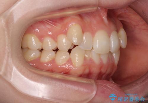
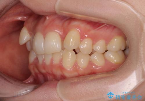
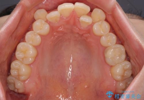
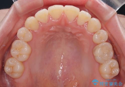
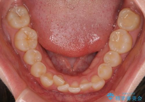
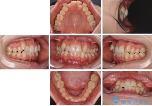
- 八重歯が気になるとのことで来院された患者様です。
上顎前歯部はデコボコが強く、歯を並べるためのスペースが不足しているため、左右の第一小臼歯を抜歯することとしました。
また、抜歯して確保したスペースが不足してしまうのを防ぐため、補助装置を併用しています。
矯正治療の前に上下左右の親知らずの抜歯も行いました。
- 費用(概算)
- 94万円(税込)費用は治療当時の料金となります
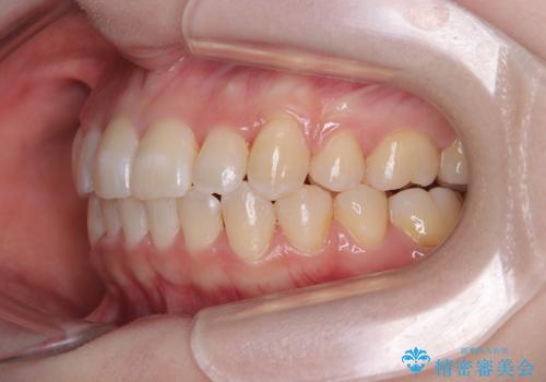
治療について
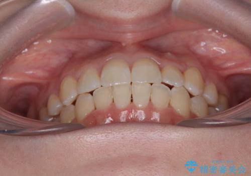
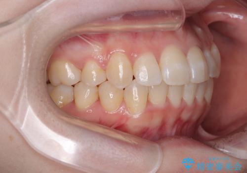
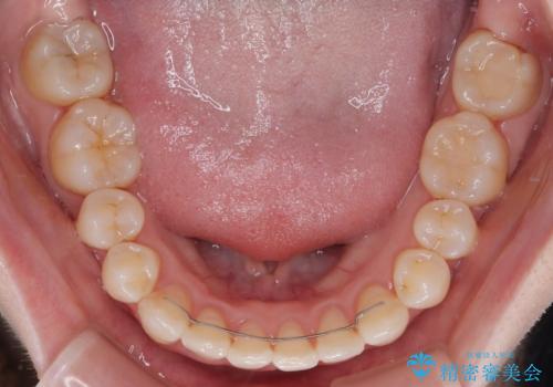
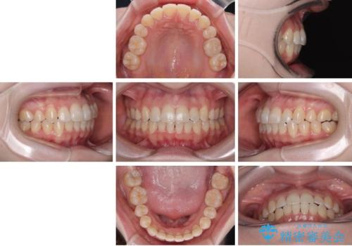
補助装置を併用したおかげで、出っ歯になることなくスムーズに治療を終えることができました。
ワイヤー矯正の注意事項(リスク・副作用など)
- 治療中は違和感や痛みが起こることがあります
- 症状により、抜歯が必要な場合があります
- 治療中は歯磨きがしにくくなるため、虫歯や歯周病になりやすくなります
- 矯正治療後の保定が不十分だと後戻り(元の位置に戻ろうとする動き)をします
- 自費診療(保険適用外)となります
当サイトの内容、テキスト、画像等の無断転載、複製、複写、盗用を固く禁じます。


























