症例詳細
Case detail
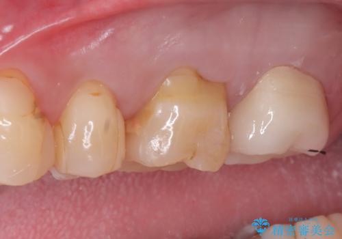
左上7のメタルインレーを除去|セラミッククラウンで自然な美しさと機能回復
治療症例の内容
- 診療科目
- 治療カテゴリ
- 担当医
- 河口智英(ドクタープロフィール)
- 患者様
- 30代男性
- 治療期間
- 1ヶ月
- 治療回数
- 2-5回
- 治療計画
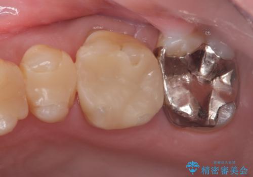
- 患者様は、左上7のメタルインレー(銀の詰め物)の見た目が気になるとのことで来院されました。診察したところ、メタルインレーの下にむし歯の再発リスクがあることも確認。より審美性と耐久性を高めるため、メタルインレーを除去し、セラミッククラウンで補綴する治療計画を立てました。
- 費用(概算)
- 12万円費用は治療当時の料金となります
治療について
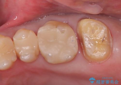
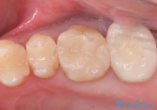
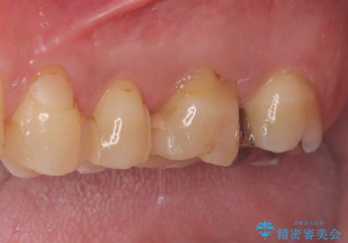
メタルインレーを丁寧に除去し、歯の状態を確認。その後、精密な形成を行い、適合性の高いセラミッククラウンを装着しました。セラミッククラウンは天然歯に近い見た目で、美しさだけでなく強度や機能性にも優れているため、患者様にも「自然な仕上がりで違和感なく噛める」と大変ご満足いただきました。
セラミック治療の注意事項(リスク・副作用など)
- 天然歯を削ります
- 硬い素材は天然歯を傷つけてしまう場合があります
- かみ合わせや歯ぎしりが強すぎる方はセラミックが割れてしまう可能性があります
- 自費診療(保険適用外治療)となります
当サイトの内容、テキスト、画像等の無断転載、複製、複写、盗用を固く禁じます。







