症例詳細
Case detail
前歯のガタガタを改善|審美ワイヤー矯正で整った歯並びへ
治療症例の内容
- 診療科目
- 治療カテゴリ
- 担当医
- 河口智英(ドクタープロフィール)
- 患者様
- 30代男性
- 矯正装置
- 審美装置
- 治療期間
- 3年
- 治療回数
- 10-30回
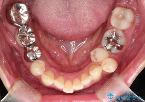
- 治療計画
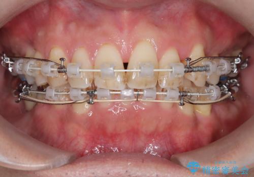
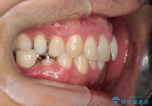
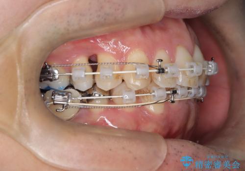
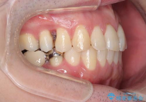
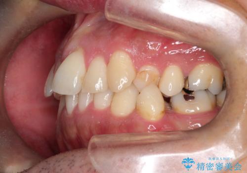
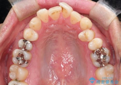
- 前歯のガタガタを気にされて来院されました。診察すると、歯列のスペースが不足し、前歯が重なり合っている状態でした。歯を並べるためには十分なスペースを確保する必要があり、左の上下小臼歯を抜歯し、審美ワイヤー矯正で全体の歯並びを整える計画を立てました。治療期間は約2年半を見込みました。
- 費用(概算)
- 100万円費用は治療当時の料金となります
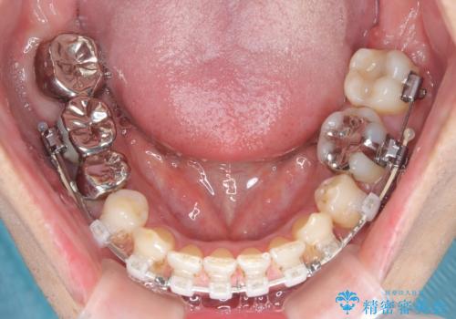
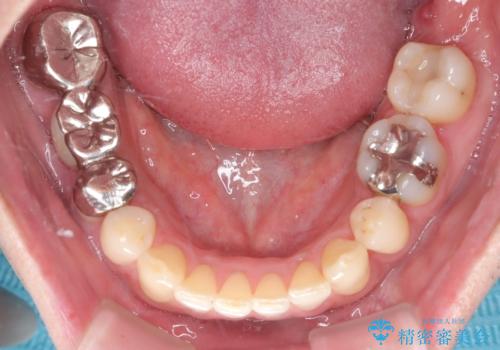
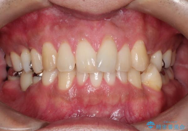
治療について
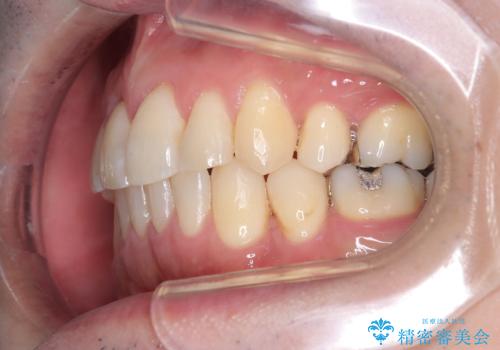
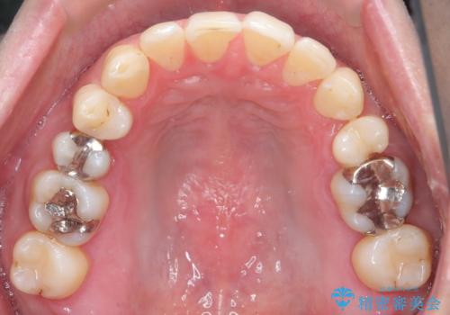
抜歯によってスペースを確保し、その後、目立ちにくい審美装置(白いワイヤーと透明なブラケット)を使用して歯を徐々に移動させました。噛み合わせも調整しながら治療を進め、全体のバランスを整えることで、前歯のガタガタが解消しました。治療後は、「自然で美しい歯並びになり、笑顔に自信が持てるようになった」と患者様にもご満足いただきました。
ワイヤー矯正の注意事項(リスク・副作用など)
- 治療中は違和感や痛みが起こることがあります
- 症状により、抜歯が必要な場合があります
- 治療中は歯磨きがしにくくなるため、虫歯や歯周病になりやすくなります
- 矯正治療後の保定が不十分だと後戻り(元の位置に戻ろうとする動き)をします
- 自費診療(保険適用外)となります
当サイトの内容、テキスト、画像等の無断転載、複製、複写、盗用を固く禁じます。















