症例詳細
Case detail
目立つ銀歯を白くしたい。オールセラミッククラウンによる補綴治療
治療症例の内容
- 診療科目
- 治療カテゴリ
- 担当医
- 齋藤佑磨(ドクタープロフィール)
- 患者様
- 50代女性
- 治療期間
- 1ヶ月
- 治療回数
- 2-5回
- 治療計画
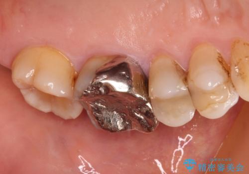
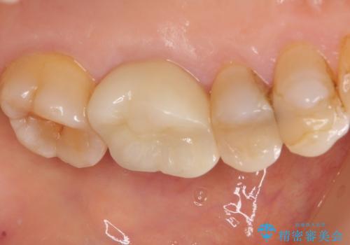
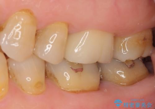
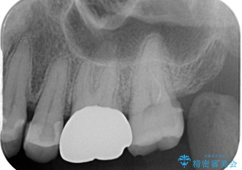
- 目立つ銀歯を白くやり替えたいと来院された患者様です。
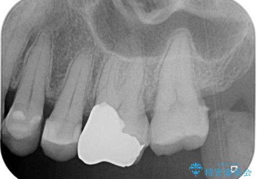
銀歯は部分的な被せものですが、健全な歯質の部分が薄くなってしまっているためクラウンにすることとしました。
銀歯の下に虫歯があったため、徹底的に除去して、精度の高いシリコーンによる型どりをしました。
- 費用(概算)
- 10万円(税込)費用は治療当時の料金となります
治療について
精度高い被せものは二次齲蝕のリスクが低いです。
セラミック治療の注意事項(リスク・副作用など)
- 天然歯を削ります
- 硬い素材は天然歯を傷つけてしまう場合があります
- かみ合わせや歯ぎしりが強すぎる方はセラミックが割れてしまう可能性があります
- 自費診療(保険適用外治療)となります
当サイトの内容、テキスト、画像等の無断転載、複製、複写、盗用を固く禁じます。








