症例詳細
Case detail
手術が怖くて抜いたままの奥歯に歯を 1DAYインプラント治療
治療症例の内容
- 担当医
- 藤巻太一朗(ドクタープロフィール)
- 患者様
- 50代男性
- 治療期間
- 2ヶ月
- 治療回数
- 2-5回
- 治療計画
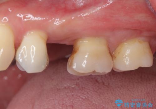
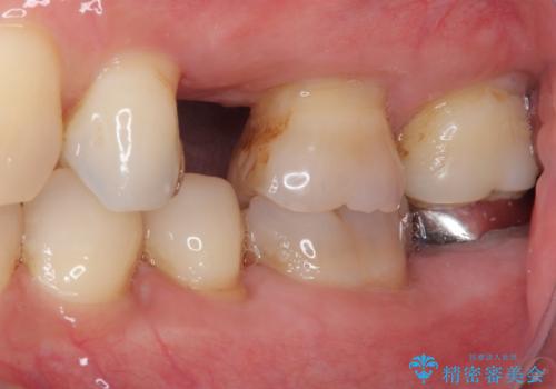
- むし歯で抜歯したまま放置していたとのことで来院された患者様です。
仕事が忙しいことと、外科手術が怖いとのことで歯科医院を避けていたものの、当院の1DAYインプラント治療を見て、重い腰を上げて来院されたとのことでした。
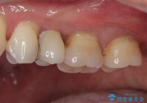
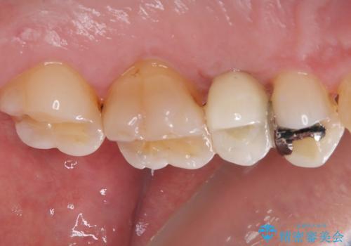
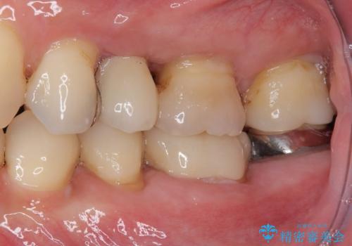
事前に仮歯を用意し、インプラント埋入時に仮歯を装着し、その後歯肉の治りを待って速やかにオールセラミッククラウンにて補綴治療を行うこととしました。
- 費用(概算)
- 治療費の目安: 50万円(税込)費用は治療当時の料金となります
治療について
インプラント埋入時に十分な安定性が確認できたため、当日仮歯を装着しました。
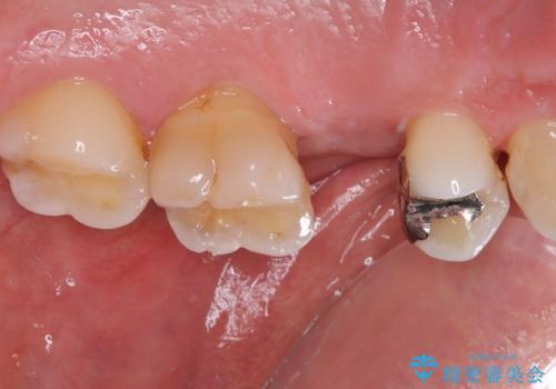
埋入から2ヶ月ほどでインプラントの十分な生着が認められ、処置した歯肉も綺麗に治癒したため、速やかに補綴治療を行いました。
補綴治療後3ヶ月での経過は良好で、引き続き経過観察を行っていきます。
インプラント治療の注意事項(リスク・副作用など)
- 外科手術のため、術後に痛みや腫れ、違和感を伴います
- メンテナンスを怠ったり喫煙により、お口の中に大きな悪影響を及ぼすインプラント周囲炎等にかかる可能性があります
- 糖尿病、肝硬変、心臓病等の場合、インプラント治療ができない可能性があります
- 高血圧、貧血・不整脈等の場合、インプラント治療後に治癒不全を招く可能性があります
- 自費診療(保険適用外治療)となります
セラミック治療の注意事項(リスク・副作用など)
- 天然歯を削ります
- 硬い素材は天然歯を傷つけてしまう場合があります
- かみ合わせや歯ぎしりが強すぎる方はセラミックが割れてしまう可能性があります
- 自費診療(保険適用外治療)となります
当サイトの内容、テキスト、画像等の無断転載、複製、複写、盗用を固く禁じます。














