症例詳細
Case detail
【モニター】飛び出した上の前歯 非抜歯矯正で整った口元に
治療症例の内容
- 診療科目
- 治療カテゴリ
- 担当医
- 藤巻太一朗(ドクタープロフィール)
- 患者様
- 30代男性
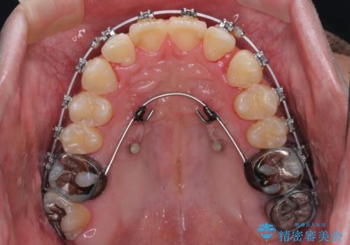
- 矯正装置
- メタルブラケット
- 治療期間
- 2年
- 治療回数
- 10-30回
- 治療計画
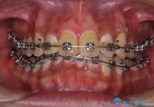
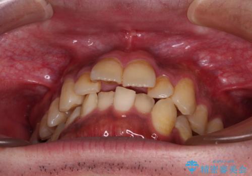
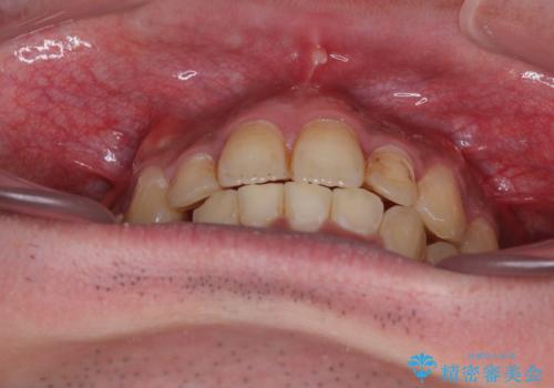
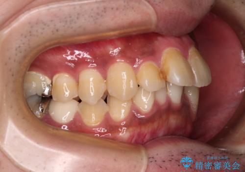
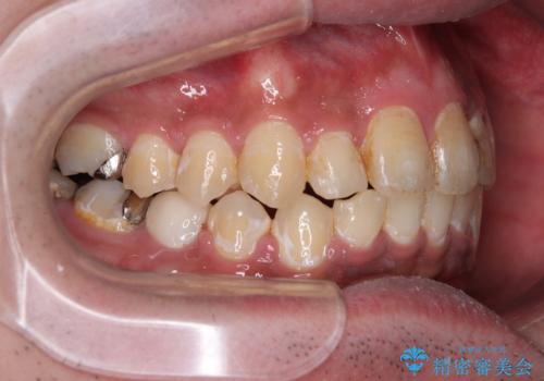
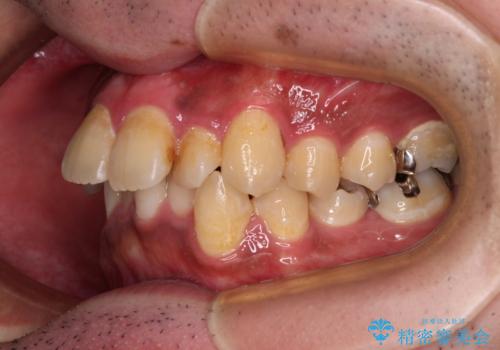
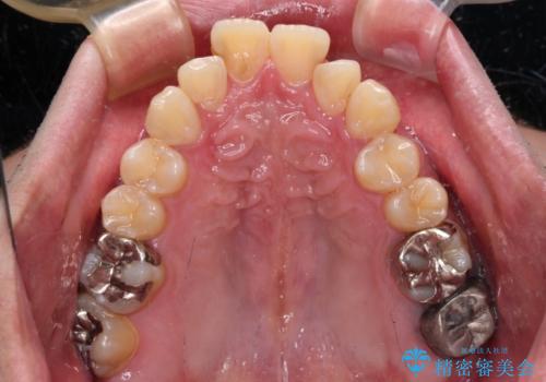
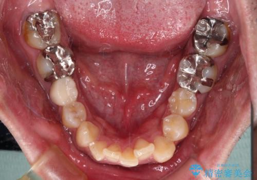
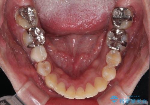
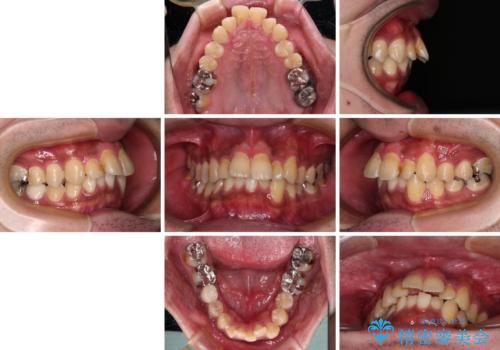
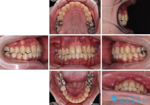
- 主張してる上の前歯を気にして来院された患者様です。
上の前歯が出ているものの、口元が出っ歯というわけではなかったため、非抜歯矯正にて治療を行うこととしました。
下顎に対して上顎歯列が全体的に前方に位置しており、特に右側の奥歯の咬み合わせの前後のズレが大きいため、補助装置を用いて咬み合わせを改善することとしました。
- 費用(概算)
- 治療費の目安: 80万円(税込)費用は治療当時の料金となります
※顔写真掲載にあたり、患者様の了解を得ております
治療について
元々むし歯リスクが高かった上に、矯正治療中も磨き残しが多かったため、今後はむし歯治療を行う必要があります。
ワイヤー矯正の注意事項(リスク・副作用など)
- 治療中は違和感や痛みが起こることがあります
- 症状により、抜歯が必要な場合があります
- 治療中は歯磨きがしにくくなるため、虫歯や歯周病になりやすくなります
- 矯正治療後の保定が不十分だと後戻り(元の位置に戻ろうとする動き)をします
- 自費診療(保険適用外)となります
当サイトの内容、テキスト、画像等の無断転載、複製、複写、盗用を固く禁じます。


























