症例詳細
Case detail
銀歯を白くしたい セラミック治療
治療症例の内容
- 診療科目
- 治療カテゴリ
- 担当医
- 大元洋佑(ドクタープロフィール)
- 患者様
- 20代女性
- 治療期間
- 1ヶ月
- 治療回数
- 2-5回
- 治療計画
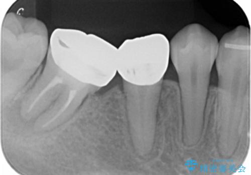
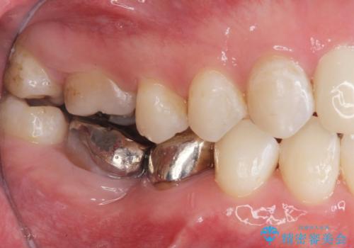
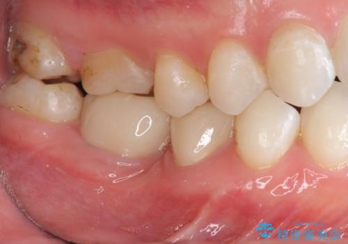
- 見栄えが悪く、歯ブラシのしづらい銀歯を白くしたい、とセラミック治療を希望され来院されました。
歯が傾いているため、歯間ブラシや歯ブラシのしやすさを考慮し、汚れの溜まりにくいようなクラウン設計を行います。
- 費用(概算)
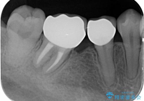
- 26.4万円(ジルコニアクラウン×2・仮歯×2)費用は治療当時の料金となります
治療について
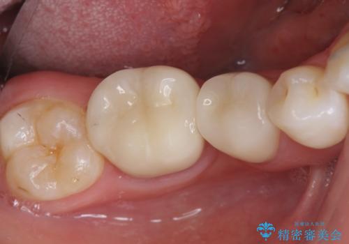
色調の自然さや、噛み合わせが改善され、満足いただくことができました。
セラミック治療の注意事項(リスク・副作用など)
- 天然歯を削ります
- 硬い素材は天然歯を傷つけてしまう場合があります
- かみ合わせや歯ぎしりが強すぎる方はセラミックが割れてしまう可能性があります
- 自費診療(保険適用外治療)となります
当サイトの内容、テキスト、画像等の無断転載、複製、複写、盗用を固く禁じます。








