症例詳細
Case detail
歯ブラシのしやすい環境を整えるインプラント治療
治療症例の内容
- 患者様
- 40代女性
- 治療期間
- 7ヶ月
- 治療回数
- 5-10回
- 治療計画
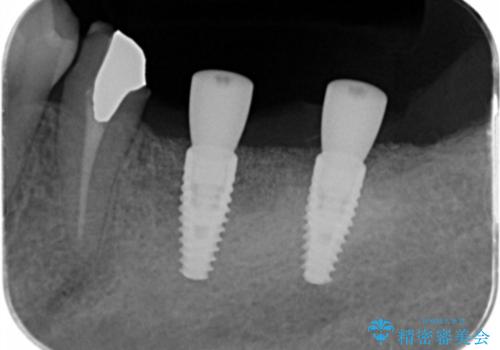
- 歯茎が腫れ、噛めない左下の治療を希望され来院されました。
精査をしたところ、歯の破により残すことが難しい状況で、親知らずと共に抜去を行いインプラントによる機能回復を計画します。
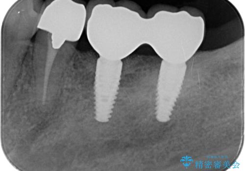
- 費用(概算)
- 110万円(インプラント×2・チタンカスタムアバットメント×2・ジルコニアクラウン×3・仮歯×3 ・遊離歯肉移植術)費用は治療当時の料金となります
治療について
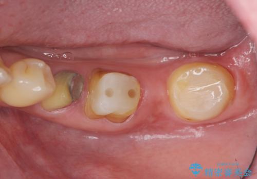
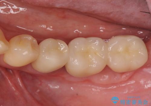
インプラント周囲のお掃除のしやすさを高め、長期的な予後を見込むために、遊離歯肉移植術を行っています。
インプラント治療の注意事項(リスク・副作用など)
- 外科手術のため、術後に痛みや腫れ、違和感を伴います
- メンテナンスを怠ったり喫煙により、お口の中に大きな悪影響を及ぼすインプラント周囲炎等にかかる可能性があります
- 糖尿病、肝硬変、心臓病等の場合、インプラント治療ができない可能性があります
- 高血圧、貧血・不整脈等の場合、インプラント治療後に治癒不全を招く可能性があります
- 自費診療(保険適用外治療)となります
当サイトの内容、テキスト、画像等の無断転載、複製、複写、盗用を固く禁じます。









