症例詳細
Case detail
ディープバイトと前歯のデコボコ インビザラインによる矯正治療
治療症例の内容
- 診療科目
- 担当医
- 藤巻太一朗(ドクタープロフィール)
- 患者様
- 40代女性
- 矯正装置
- インビザライン
- 治療期間
- 2年2ヶ月
- 治療回数
- 5-10回
- 治療計画
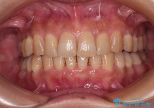
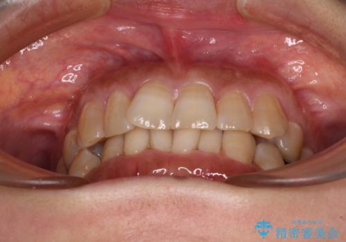
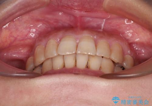
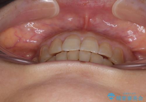
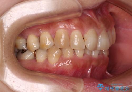
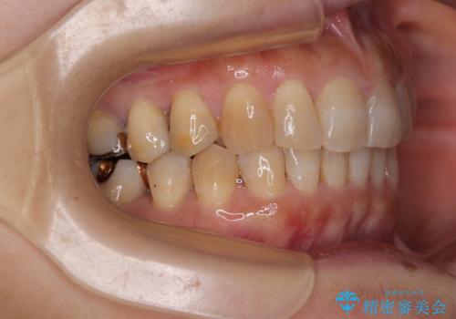
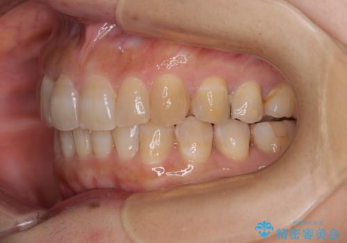
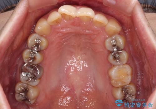
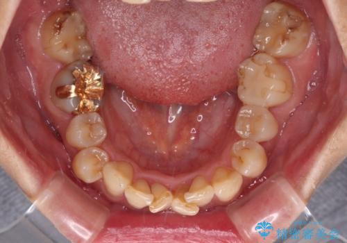
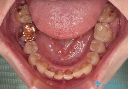
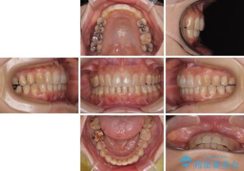
- 前歯のディープバイトと叢生を気にして来院された患者様です。
目立ちにくい装置を希望されていたため、ワイヤー装置とインビザラインを提案したところ、インビザラインを希望されました。
下顎大臼歯が手前に倒れていたため、起き上がらせることで咬み合わせ高さを挙上し、ディープバイトと叢生を改善することとしました。
- 費用(概算)
- 治療費の目安: 90万円(税込)費用は治療当時の料金となります
治療について
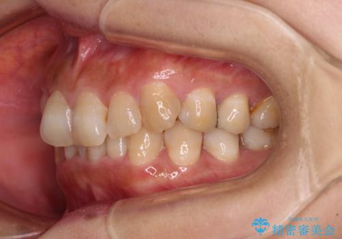
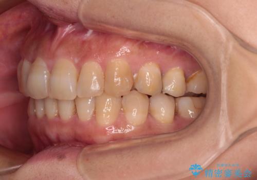
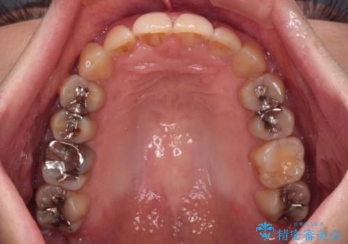
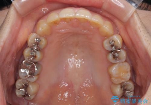
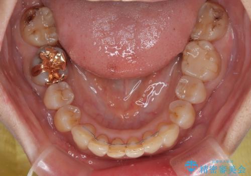
インビザライン特有の奥歯の噛みにくさが治療後半に発言しましたが、無事に終了させることができました。
マウスピース矯正の注意事項(リスク・副作用など)
- 口腔内・歯並びの状態によっては対応できない場合があります
- マウスピース型矯正装置の長時間装着(1日20時間以上)が必須です
- 治療計画通りに進めるためには、患者様の意志が重要になります
- 矯正治療後の保定が不十分だと後戻り(元の位置に戻ろうとする動き)をします
- 薬機法対象外の矯正歯科装置のため医薬品副作用被害救済制度の対象外となる場合があります
- 自費診療(保険適用外)となります
当サイトの内容、テキスト、画像等の無断転載、複製、複写、盗用を固く禁じます。


























